Antibody data
- Antibody Data
- Antigen structure
- References [0]
- Comments [0]
- Validations
- Western blot [1]
- Immunohistochemistry [1]
Submit
Validation data
Reference
Comment
Report error
- Product number
- NBP1-33318 - Provider product page

- Provider
- Novus Biologicals
- Proper citation
- Novus Cat#NBP1-33318, RRID:AB_2105384
- Product name
- Rabbit Polyclonal FMO2 Antibody
- Antibody type
- Polyclonal
- Description
- Immunogen affinity purified.
- Reactivity
- Human
- Host
- Rabbit
- Isotype
- IgG
- Vial size
- 100 ul
- Storage
- Aliquot and store at -20C or -80C. Avoid freeze-thaw cycles.
No comments: Submit comment
Supportive validation
- Submitted by
- Novus Biologicals (provider)
- Main image

- Experimental details
- Western Blot: FMO2 Antibody [NBP1-33318] - Sample (30 ug of whole cell lysate) A: Hep G2 10% SDS PAGE; antibody diluted at 1:1000.
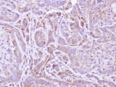
Supportive validation
- Submitted by
- Novus Biologicals (provider)
- Main image

- Experimental details
- Immunohistochemistry-Paraffin: FMO2 Antibody [NBP1-33318] - Paraffin-embedded A549 xenograft, using antibody at 1:500 dilution.