Antibody data
- Antibody Data
- Antigen structure
- References [0]
- Comments [0]
- Validations
- Immunohistochemistry [1]
Submit
Validation data
Reference
Comment
Report error
- Product number
- AP33234PU-N - Provider product page

- Provider
- Acris Antibodies GmbH
- Product name
- anti Collagen type IV alpha 3 chain (341-353)
- Antibody type
- Polyclonal
- Antigen
- Synthetic peptide from the internal region of Human COL4A3Â (NP_000082.2)
- Reactivity
- Human, Bovine, Canine
- Host
- Goat
- Vial size
- 0.1 mg
- Concentration
- 0.5 mg/ml
No comments: Submit comment
Supportive validation
- Submitted by
- Acris Antibodies GmbH (provider)
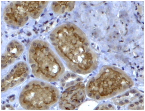
- Main image

- Experimental details
- Paraffin Embedded Human Kidney stained with COL4A3 Antibody Cat.-No AP33234PU-N at 4 µg/ml. Steamed antigen retrieval with citrate buffer pH 6, HRP-staining.