Antibody data
- Antibody Data
- Antigen structure
- References [0]
- Comments [0]
- Validations
- Immunohistochemistry [1]
Submit
Validation data
Reference
Comment
Report error
- Product number
- AP08544PU-N - Provider product page

- Provider
- Acris Antibodies GmbH
- Proper citation
- Acris Antibodies GmbH Cat#AP08544PU-N, RRID:AB_1954070
- Product name
- anti Myocilin (69-85)
- Antibody type
- Polyclonal
- Antigen
- KLH conjugated synthetic peptide comprising amino acids 69-85 of the Human Myocilin.
- Reactivity
- Human
- Host
- Rabbit
- Isotype
- IgG
- Vial size
- 50 µg
- Concentration
- 0.5 mg/ml
No comments: Submit comment
Supportive validation
- Submitted by
- Acris Antibodies GmbH (provider)
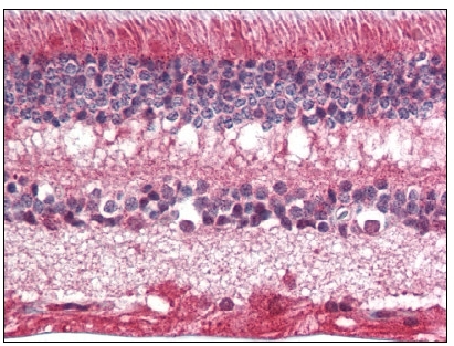
- Main image

- Experimental details
- Formalin-Fixed Paraffin-Embedded Human Eye, retina tissue using AP08544PU-N at 5 µg/ml.