Antibody data
- Antibody Data
- Antigen structure
- References [7]
- Comments [0]
- Validations
- Western blot [1]
- Immunohistochemistry [2]
Submit
Validation data
Reference
Comment
Report error
- Product number
- 14737-1-AP - Provider product page

- Provider
- Proteintech Group
- Proper citation
- Proteintech Cat#14737-1-AP, RRID:AB_2093691
- Product name
- DNM3 antibody
- Antibody type
- Polyclonal
- Description
- KD/KO validated DNM3 antibody (Cat. #14737-1-AP) is a rabbit polyclonal antibody that shows reactivity with human, mouse, rat and has been validated for the following applications: IHC, IP, WB, ELISA.
- Reactivity
- Human, Mouse, Rat
- Host
- Rabbit
- Conjugate
- Unconjugated
- Isotype
- IgG
- Vial size
- 20ul, 150ul
Submitted references Dynamin 3 overexpression suppresses the proliferation, migration and invasion of cervical cancer cells.
siPRDX2-elevated DNM3 inhibits the proliferation and metastasis of colon cancer cells via AKT signaling pathway.
Modification of Crocodile Spermatozoa Refutes the Tenet That Post-testicular Sperm Maturation Is Restricted To Mammals.
Characterization of a novel role for the dynamin mechanoenzymes in the regulation of human sperm acrosomal exocytosis.
Developmental expression of the dynamin family of mechanoenzymes in the mouse epididymis.
Identification and validation of genes with expression patterns inverse to multiple metastasis suppressor genes in breast cancer cell lines.
Dynamin regulates specific membrane fusion events necessary for acrosomal exocytosis in mouse spermatozoa.
Fa J
Oncology letters 2021 Jul;22(1):524
Oncology letters 2021 Jul;22(1):524
siPRDX2-elevated DNM3 inhibits the proliferation and metastasis of colon cancer cells via AKT signaling pathway.
Ma Y, Guan L, Han Y, Zhou Y, Li X, Liu Y, Zhang X, Zhang W, Li X, Wang S, Lu W
Cancer management and research 2019;11:5799-5811
Cancer management and research 2019;11:5799-5811
Modification of Crocodile Spermatozoa Refutes the Tenet That Post-testicular Sperm Maturation Is Restricted To Mammals.
Nixon B, Johnston SD, Skerrett-Byrne DA, Anderson AL, Stanger SJ, Bromfield EG, Martin JH, Hansbro PM, Dun MD
Molecular & cellular proteomics : MCP 2019 Mar 15;18(Suppl 1):S58-S76
Molecular & cellular proteomics : MCP 2019 Mar 15;18(Suppl 1):S58-S76
Characterization of a novel role for the dynamin mechanoenzymes in the regulation of human sperm acrosomal exocytosis.
Zhou W, Anderson AL, Turner AP, De Iuliis GN, McCluskey A, McLaughlin EA, Nixon B
Molecular human reproduction 2017 Oct 1;23(10):657-673
Molecular human reproduction 2017 Oct 1;23(10):657-673
Developmental expression of the dynamin family of mechanoenzymes in the mouse epididymis.
Zhou W, De Iuliis GN, Turner AP, Reid AT, Anderson AL, McCluskey A, McLaughlin EA, Nixon B
Biology of reproduction 2017 Jan 1;96(1):159-173
Biology of reproduction 2017 Jan 1;96(1):159-173
Identification and validation of genes with expression patterns inverse to multiple metastasis suppressor genes in breast cancer cell lines.
Marino N, Collins JW, Shen C, Caplen NJ, Merchant AS, Gökmen-Polar Y, Goswami CP, Hoshino T, Qian Y, Sledge GW Jr, Steeg PS
Clinical & experimental metastasis 2014 Oct;31(7):771-86
Clinical & experimental metastasis 2014 Oct;31(7):771-86
Dynamin regulates specific membrane fusion events necessary for acrosomal exocytosis in mouse spermatozoa.
Reid AT, Lord T, Stanger SJ, Roman SD, McCluskey A, Robinson PJ, Aitken RJ, Nixon B
The Journal of biological chemistry 2012 Nov 2;287(45):37659-72
The Journal of biological chemistry 2012 Nov 2;287(45):37659-72
No comments: Submit comment
Supportive validation
- Submitted by
- Proteintech Group (provider)
- Main image

- Experimental details
- mouse brain tissue were subjected to SDS PAGE followed by western blot with 14737-1-AP(DNM3 antibody) at dilution of 1:800
- Sample type
- tissue
Supportive validation
- Submitted by
- Proteintech Group (provider)
- Main image

- Experimental details
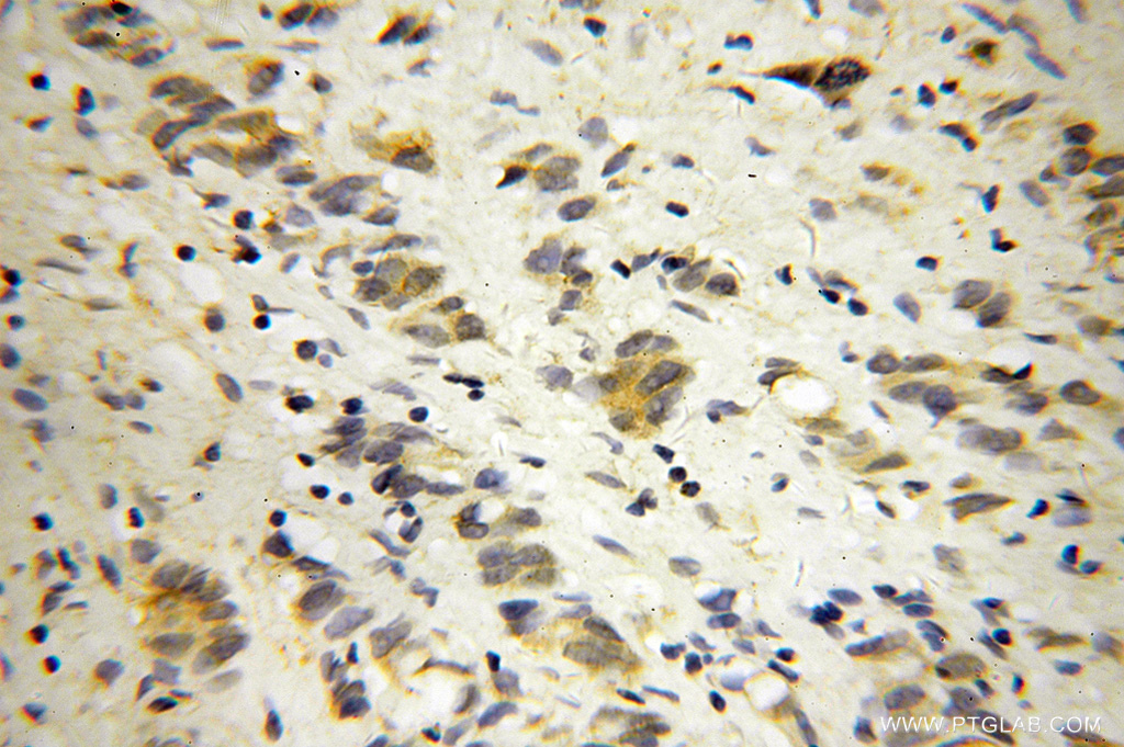
- Immunohistochemical of paraffin-embedded human gliomas using 14737-1-AP(DNM3 antibody) at dilution of 1:50 (under 10x lens)
- Sample type
- tissue
- Submitted by
- Proteintech Group (provider)
- Main image

- Experimental details
- The DNM3 antibody from Proteintech is a rabbit polyclonal antibody to a recombinant protein of human DNM3. This antibody recognizes human, mouse, rat antigen. The DNM3 antibody has been validated for the following applications: ELISA, WB, IHC analysis.