Antibody data
- Antibody Data
- Antigen structure
- References [3]
- Comments [0]
- Validations
- Western blot [2]
- Immunohistochemistry [2]
Submit
Validation data
Reference
Comment
Report error
- Product number
- AF3437 - Provider product page

- Provider
- R&D Systems
- Product name
- Mouse ACE-2 Antibody
- Antibody type
- Polyclonal
- Description
- Antigen Affinity-purified. Detects mouse ACE-2 in direct ELISAs and Western blots. In direct ELISAs, approximately 25% cross-reactivity with recombinant rat ACE-2 and 10% cross-reactivity with recombinant human ACE-2 is observed.
- Reactivity
- Mouse
- Host
- Goat
- Conjugate
- Unconjugated
- Antigen sequence
Q8R0I0- Isotype
- IgG
- Vial size
- 100 ug
- Concentration
- LYOPH
- Storage
- Use a manual defrost freezer and avoid repeated freeze-thaw cycles. 12 months from date of receipt, -20 to -70 °C as supplied. 1 month, 2 to 8 °C under sterile conditions after reconstitution. 6 months, -20 to -70 °C under sterile conditions after reconstitution.
Submitted references Expression and regulation of the neutral amino acid transporter B0AT1 in rat small intestine.
ACE2 links amino acid malnutrition to microbial ecology and intestinal inflammation.
Orphan transporter SLC6A18 is renal neutral amino acid transporter B0AT3.
Jando J, Camargo SMR, Herzog B, Verrey F
PloS one 2017;12(9):e0184845
PloS one 2017;12(9):e0184845
ACE2 links amino acid malnutrition to microbial ecology and intestinal inflammation.
Hashimoto T, Perlot T, Rehman A, Trichereau J, Ishiguro H, Paolino M, Sigl V, Hanada T, Hanada R, Lipinski S, Wild B, Camargo SM, Singer D, Richter A, Kuba K, Fukamizu A, Schreiber S, Clevers H, Verrey F, Rosenstiel P, Penninger JM
Nature 2012 Jul 25;487(7408):477-81
Nature 2012 Jul 25;487(7408):477-81
Orphan transporter SLC6A18 is renal neutral amino acid transporter B0AT3.
Singer D, Camargo SM, Huggel K, Romeo E, Danilczyk U, Kuba K, Chesnov S, Caron MG, Penninger JM, Verrey F
The Journal of biological chemistry 2009 Jul 24;284(30):19953-60
The Journal of biological chemistry 2009 Jul 24;284(30):19953-60
No comments: Submit comment
Supportive validation
- Submitted by
- R&D Systems (provider)
- Main image

- Experimental details
- Detection of Mouse ACE-2 by Western Blot. Western blot shows lysates of mouse kidney tissue. PVDF membrane was probed with 0.25 µg/mL of Goat Anti-Mouse ACE-2 Antigen Affinity-purified Polyclonal Antibody (Catalog # AF3437) followed by HRP-conjugated Anti-Goat IgG Secondary Antibody (Catalog # HAF019). A specific band was detected for ACE-2 at approximately 95 kDa (as indicated). This experiment was conducted under reducing conditions and using Immunoblot Buffer Group 1.
- Submitted by
- R&D Systems (provider)
- Main image

- Experimental details
- Detection of Mouse ACE-2 by Simple WesternTM. Simple Western lane view shows lysates of mouse kidney tissue, loaded at 0.2 mg/mL. A specific band was detected for ACE-2 at approximately 141 kDa (as indicated) using 2.5 µg/mL of Goat Anti-Mouse ACE-2 Antigen Affinity-purified Polyclonal Antibody (Catalog # AF3437) followed by 1:50 dilution of HRP-conjugated Anti-Goat IgG Secondary Antibody (Catalog # HAF109). This experiment was conducted under reducing conditions and using the 12-230 kDa separation system.
Supportive validation
- Submitted by
- R&D Systems (provider)
- Main image

- Experimental details
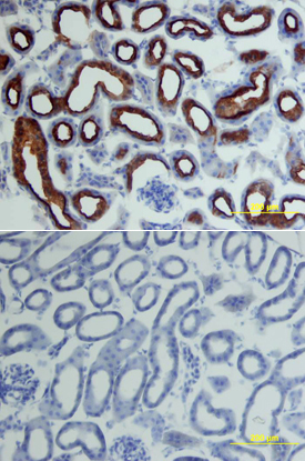
- ACE-2 in Mouse Kidney. ACE-2 was detected in perfusion fixed frozen sections of mouse kidney using Goat Anti-Mouse ACE-2 Antigen Affinity-purified Polyclonal Antibody (Catalog # AF3437) at 15 µg/mL overnight at 4 °C. Tissue was stained using the Anti-Goat HRP-DAB Cell & Tissue Staining Kit (brown; Catalog # CTS008) and counterstained with hematoxylin (blue). Lower panel shows a lack of labeling if primary antibodies are omitted and tissue is stained only with secondary antibody followed by incubation with detection reagents. View our protocol for Chromogenic IHC Staining of Frozen Tissue Sections.
- Submitted by
- R&D Systems (provider)
- Main image

- Experimental details
- ACE-2 in Mouse Kidney. ACE-2 was detected in perfusion fixed frozen sections of mouse kidney using 15 µg/mL Goat Anti-Mouse ACE-2 Antigen Affinity-purified Polyclonal Antibody (Catalog # AF3437) overnight at 4 °C. Tissue was stained (red) and counterstained (green). View our protocol for Fluorescent IHC Staining of Frozen Tissue Sections.