Antibody data
- Antibody Data
- Antigen structure
- References [0]
- Comments [0]
- Validations
- Immunohistochemistry [1]
Submit
Validation data
Reference
Comment
Report error
- Product number
- NBP2-12015 - Provider product page

- Provider
- Novus Biologicals
- Product name
- Rat Monoclonal ADAM10 Antibody
- Antibody type
- Monoclonal
- Description
- Protein G purified.
- Reactivity
- Mouse
- Host
- Rat
- Isotype
- IgG
- Vial size
- 0.1 mg
- Concentration
- LYOPH
- Storage
- Store at 4C short term. Aliquot and store at -20C long term. Avoid freeze-thaw cycles.
No comments: Submit comment
Supportive validation
- Submitted by
- Novus Biologicals (provider)
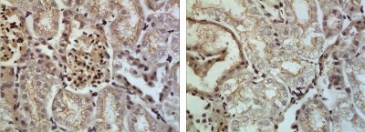
- Main image

- Experimental details
- Immunohistochemistry-Paraffin: ADAM10 Antibody (RM0146-7H12) [NBP2-12015] - The Kidney tissue samples from the Folic Acid induced kidney injury model were fixed using 4% PFA at 4C for overnight and embeded in paraffin. 4um section was sublected to IHC with NBP2-12015