Antibody data
- Antibody Data
- Antigen structure
- References [0]
- Comments [0]
- Validations
- Immunohistochemistry [6]
Submit
Validation data
Reference
Comment
Report error
- Product number
- NBP2-49226 - Provider product page

- Provider
- Novus Biologicals
- Product name
- Rabbit Polyclonal TEX44 Antibody
- Antibody type
- Polyclonal
- Description
- Immunogen affinity purified. Specificity of human C2orf57 antibody verified on a Protein Array containing target protein plus 383 other non-specific proteins.
- Reactivity
- Human
- Host
- Rabbit
- Isotype
- IgG
- Vial size
- 0.1 ml
- Storage
- Store at 4C short term. Aliquot and store at -20C long term. Avoid freeze-thaw cycles.
No comments: Submit comment
Supportive validation
- Submitted by
- Novus Biologicals (provider)
- Main image

- Experimental details
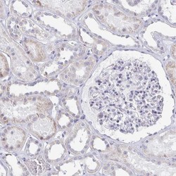
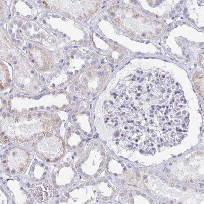
- Immunohistochemistry-Paraffin: TEX44 Antibody [NBP2-49226] - C2orf57 Antibody [NBP2-49226] - Staining of human kidney shows low expression as expected.
- Submitted by
- Novus Biologicals (provider)
- Main image

- Experimental details
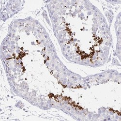
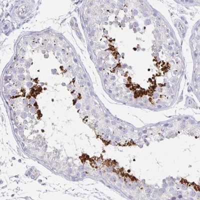
- Immunohistochemistry-Paraffin: TEX44 Antibody [NBP2-49226] - C2orf57 Antibody [NBP2-49226] - Staining of human testis shows high expression.
- Submitted by
- Novus Biologicals (provider)
- Main image

- Experimental details
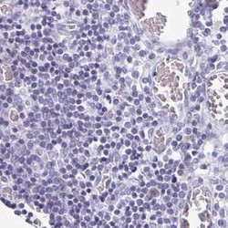
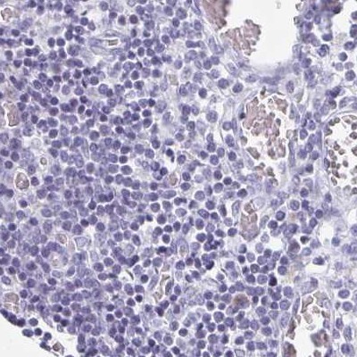
- Immunohistochemistry-Paraffin: TEX44 Antibody [NBP2-49226] - C2orf57 Antibody [NBP2-49226] - Staining of human lymph node.
- Submitted by
- Novus Biologicals (provider)
- Main image

- Experimental details
- Immunohistochemistry-Paraffin: TEX44 Antibody [NBP2-49226] - C2orf57 Antibody [NBP2-49226] - Staining of human cerebral cortex.
- Submitted by
- Novus Biologicals (provider)
- Main image

- Experimental details
- Immunohistochemistry-Paraffin: TEX44 Antibody [NBP2-49226] - C2orf57 Antibody [NBP2-49226] - Staining in human testis and kidney tissues using anti-TEX44 antibody. Corresponding TEX44 RNA-seq data are presented for the same tissues.
- Submitted by
- Novus Biologicals (provider)
- Main image

- Experimental details
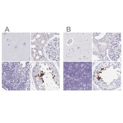
- Immunohistochemistry-Paraffin: TEX44 Antibody [NBP2-49226] - C2orf57 Antibody [NBP2-49226] - Staining of human cerebral cortex, kidney, lymph node and testis using Anti-TEX44 antibody NBP2-49226 (A) shows similar protein distribution across tissues to independent antibody NBP2-14406 (B).