Antibody data
- Antibody Data
- Antigen structure
- References [0]
- Comments [0]
- Validations
- Immunohistochemistry [6]
Submit
Validation data
Reference
Comment
Report error
- Product number
- PA5-62090 - Provider product page

- Provider
- Invitrogen Antibodies
- Product name
- C2orf57 Polyclonal Antibody
- Antibody type
- Polyclonal
- Antigen
- Recombinant protein fragment
- Description
- Immunogen sequence: LGNVDDSRSK DSPAGEPQGQ VPLTADVLAV SSSVASTDWQ DIDQASFKTA TPRAISTSGD KDKSAVVPEH GQKTPRKITP LLPSQNPSPL QVS Highest antigen sequence identity to the following orthologs: Mouse - 28%, Rat - 28%.
- Reactivity
- Human
- Host
- Rabbit
- Isotype
- IgG
- Vial size
- 100 μL
- Concentration
- 0.05 mg/mL
- Storage
- Store at 4°C short term. For long term storage, store at -20°C, avoiding freeze/thaw cycles.
No comments: Submit comment
Supportive validation
- Submitted by
- Invitrogen Antibodies (provider)
- Main image

- Experimental details
- Immunohistochemical staining of C2orf57 in human testis and kidney tissues using C2orf57 Polyclonal Antibody (Product # PA5-62090). Corresponding TEX44 RNA-seq data are presented for the same tissues.
- Submitted by
- Invitrogen Antibodies (provider)
- Main image

- Experimental details
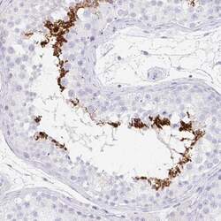
- Immunohistochemical staining of C2orf57 in human testis using C2orf57 Polyclonal Antibody (Product # PA5-62090) shows high expression.
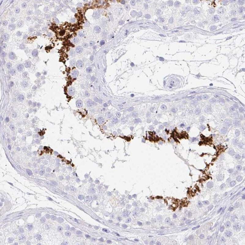
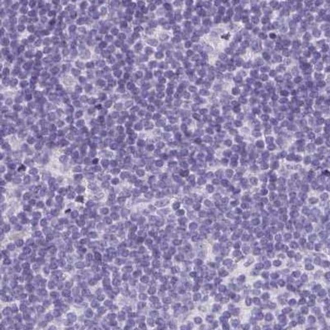
- Submitted by
- Invitrogen Antibodies (provider)
- Main image

- Experimental details
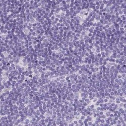
- Immunohistochemical staining of C2orf57 in human lymph node using C2orf57 Polyclonal Antibody (Product # PA5-62090).
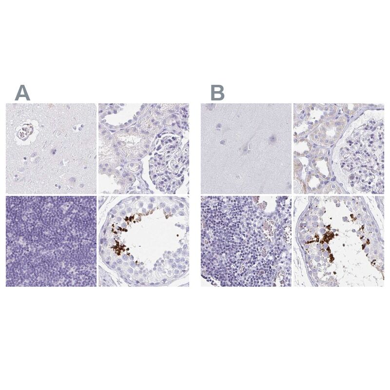
- Submitted by
- Invitrogen Antibodies (provider)
- Main image

- Experimental details
- Immunohistochemical staining of C2orf57 in human cerebral cortex, kidney, lymph node and testis using C2orf57 Polyclonal Antibody (Product # PA5-62090) (A) shows similar protein distribution across tissues to an independent C2orf57 Polyclonal Antibody (B).
- Submitted by
- Invitrogen Antibodies (provider)
- Main image

- Experimental details
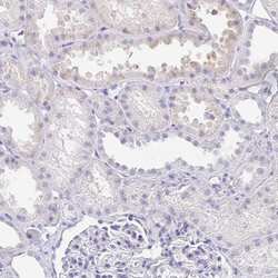
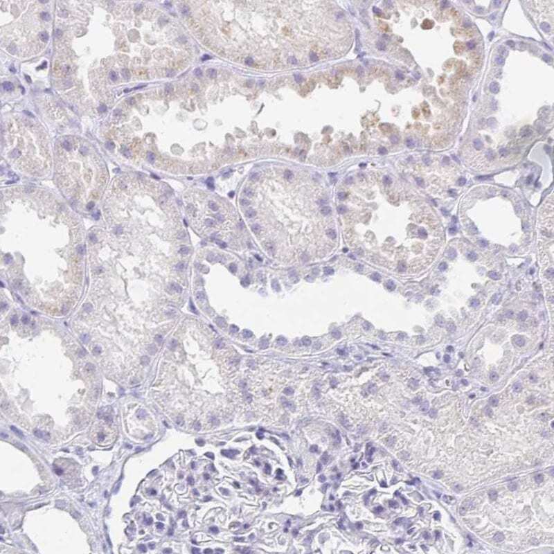
- Immunohistochemical staining of C2orf57 in human kidney using C2orf57 Polyclonal Antibody (Product # PA5-62090) shows low expression as expected.
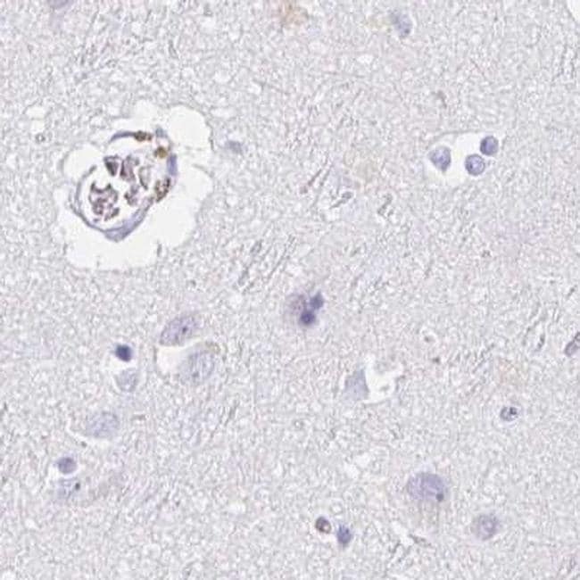
- Submitted by
- Invitrogen Antibodies (provider)
- Main image

- Experimental details
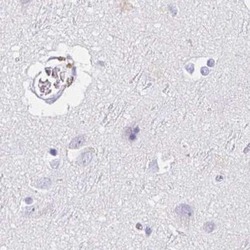
- Immunohistochemical staining of C2orf57 in human cerebral cortex using C2orf57 Polyclonal Antibody (Product # PA5-62090).