Antibody data
- Antibody Data
- Antigen structure
- References [1]
- Comments [0]
- Validations
- Immunohistochemistry [7]
Submit
Validation data
Reference
Comment
Report error
- Product number
- NBP2-14406 - Provider product page

- Provider
- Novus Biologicals
- Product name
- Rabbit Polyclonal TEX45 Antibody
- Antibody type
- Polyclonal
- Description
- Immunogen affinity purified. Specificity of human C2orf57 antibody verified on a Protein Array containing target protein plus 383 other non-specific proteins.
- Reactivity
- Human
- Host
- Rabbit
- Isotype
- IgG
- Vial size
- 0.1 ml
- Storage
- Store at 4C short term. Aliquot and store at -20C long term. Avoid freeze-thaw cycles.
Submitted references The human testis-specific proteome defined by transcriptomics and antibody-based profiling.
Djureinovic D, Fagerberg L, Hallström B, Danielsson A, Lindskog C, Uhlén M, Pontén F
Molecular human reproduction 2014 Jun;20(6):476-88
Molecular human reproduction 2014 Jun;20(6):476-88
No comments: Submit comment
Supportive validation
- Submitted by
- Novus Biologicals (provider)
- Main image

- Experimental details
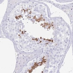
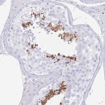
- Immunohistochemistry-Paraffin: C2orf57 Antibody [NBP2-14406] - Staining of human testis shows distinct positivity in a subset of cells in seminiferus ducts.
- Submitted by
- Novus Biologicals (provider)
- Main image

- Experimental details
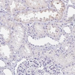
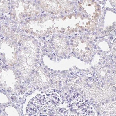
- Immunohistochemistry-Paraffin: C2orf57 Antibody [NBP2-14406] - Staining of human kidney shows low expression as expected.
- Submitted by
- Novus Biologicals (provider)
- Main image

- Experimental details
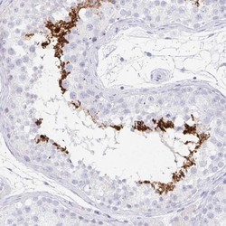
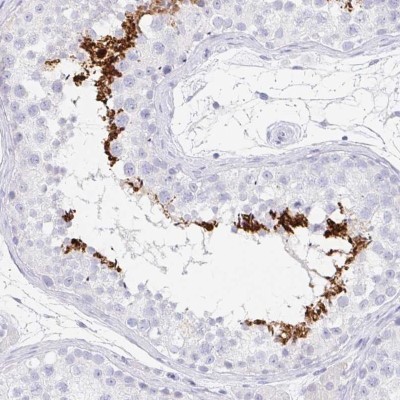
- Immunohistochemistry-Paraffin: C2orf57 Antibody [NBP2-14406] - Staining of human testis shows high expression.
- Submitted by
- Novus Biologicals (provider)
- Main image

- Experimental details
- Immunohistochemistry-Paraffin: C2orf57 Antibody [NBP2-14406] - Staining in human testis and kidney tissues using anti-TEX44 antibody. Corresponding TEX44 RNA-seq data are presented for the same tissues.
- Submitted by
- Novus Biologicals (provider)
- Main image

- Experimental details
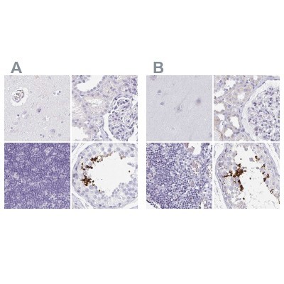
- Immunohistochemistry-Paraffin: C2orf57 Antibody [NBP2-14406] - Staining of human cerebral cortex, kidney, lymph node and testis using Anti-TEX44 antibody NBP2-14406 (A) shows similar protein distribution across tissues to independent antibody NBP2-49226 (B).
- Submitted by
- Novus Biologicals (provider)
- Main image

- Experimental details
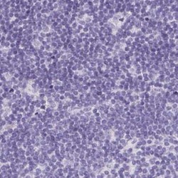
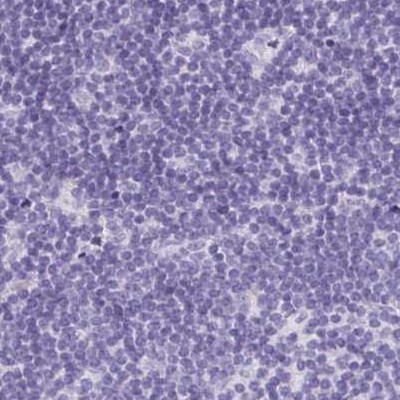
- Immunohistochemistry-Paraffin: C2orf57 Antibody [NBP2-14406] - Staining of human lymph node.
- Submitted by
- Novus Biologicals (provider)
- Main image

- Experimental details
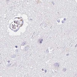
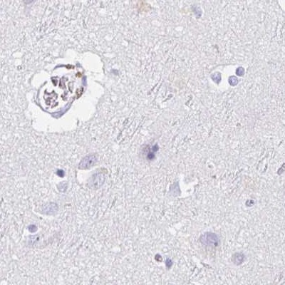
- Immunohistochemistry-Paraffin: C2orf57 Antibody [NBP2-14406] - Staining of human cerebral cortex.