Antibody data
- Antibody Data
- Antigen structure
- References [0]
- Comments [0]
- Validations
- Western blot [1]
- Immunohistochemistry [3]
- Flow cytometry [1]
Submit
Validation data
Reference
Comment
Report error
- Product number
- NBP2-75624 - Provider product page

- Provider
- Novus Biologicals
- Product name
- Rabbit Monoclonal Podocin/NPHS2 Antibody
- Antibody type
- Monoclonal
- Description
- Protein A purified.
- Reactivity
- Human, Mouse, Rat
- Host
- Rabbit
- Isotype
- IgG
- Vial size
- 100 ul
- Storage
- Store at 4C short term. Aliquot and store at -20C long term. Avoid freeze-thaw cycles.
No comments: Submit comment
Supportive validation
- Submitted by
- Novus Biologicals (provider)
- Main image

- Experimental details
- Western Blot: Podocin/NPHS2 Antibody (JB51-33) [NBP2-75624] - Analysis of NPHS2 on rat kidney (1) and human kidney (2) tissue lysate using anti-NPHS2 antibody at 1/500 dilution.
Supportive validation
- Submitted by
- Novus Biologicals (provider)
- Main image

- Experimental details
- Immunohistochemistry-Paraffin: Podocin/NPHS2 Antibody (JB51-33) [NBP2-75624] - Analysis of paraffin-embedded rat kidney tissue using anti-NPHS2 antibody. Counter stained with hematoxylin.
- Submitted by
- Novus Biologicals (provider)
- Main image

- Experimental details
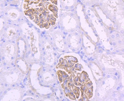
- Immunohistochemistry-Paraffin: Podocin/NPHS2 Antibody (JB51-33) [NBP2-75624] - Analysis of paraffin-embedded mouse kidney tissue using anti-NPHS2 antibody. Counter stained with hematoxylin.
- Submitted by
- Novus Biologicals (provider)
- Main image

- Experimental details
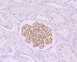
- Immunohistochemistry-Paraffin: Podocin/NPHS2 Antibody (JB51-33) [NBP2-75624] - Analysis of paraffin-embedded human kidney tissue using anti-NPHS2 antibody. Counter stained with hematoxylin.
Supportive validation
- Submitted by
- Novus Biologicals (provider)
- Main image

- Experimental details
- Flow Cytometry: Podocin/NPHS2 Antibody (JB51-33) [NBP2-75624] - Analysis of 293T cells with NPHS2 antibody at 1/50 dilution (red) compared with an unlabelled control (cells without incubation with primary antibody; black). Alexa Fluor 488-conjugated goat anti-rabbit IgG was used as the secondary antibody.