Antibody data
- Antibody Data
- Antigen structure
- References [1]
- Comments [0]
- Validations
- Western blot [3]
- Immunohistochemistry [1]
Submit
Validation data
Reference
Comment
Report error
- Product number
- NBP1-32730 - Provider product page

- Provider
- Novus Biologicals
- Proper citation
- Novus Cat#NBP1-32730, RRID:AB_2161445
- Product name
- Rabbit Polyclonal PDE6D Antibody
- Antibody type
- Polyclonal
- Description
- Immunogen affinity purified.
- Reactivity
- Human, Mouse, Xenopus
- Host
- Rabbit
- Isotype
- IgG
- Vial size
- 0.1 ml
- Storage
- Aliquot and store at -20C or -80C. Avoid freeze-thaw cycles.
Submitted references An intrinsic compartmentalization code for peripheral membrane proteins in photoreceptor neurons.
Maza NA, Schiesser WE, Calvert PD
The Journal of cell biology 2019 Nov 4;218(11):3753-3772
The Journal of cell biology 2019 Nov 4;218(11):3753-3772
No comments: Submit comment
Supportive validation
- Submitted by
- Novus Biologicals (provider)
- Main image

- Experimental details
- Western Blot: PDE6D Antibody [NBP1-32730] - 30 ug of whole cell lysate MOLT4. 12% SDS-PAGE. Antibody at 1:1000.
- Submitted by
- Novus Biologicals (provider)
- Main image

- Experimental details
- Western Blot: PDE6D Antibody [NBP1-32730] - Mouse tissue extract (50 ug) was separated by 15% SDS-PAGE, and the membrane was blotted with PDE6D antibody [N1C3] diluted at 1:15000. The HRP-conjugated anti-rabbit IgG antibody (NBP2-19301) was used to detect the primary antibody.
- Submitted by
- Novus Biologicals (provider)
- Main image

- Experimental details
- Western Blot: PDE6D Antibody [NBP1-32730] - Xenopus laevis retinal lysate (50 ug). Antibody at 1:500. Detection with mouse anti-rabbit secondary antibody. Image from verified customer review.
Supportive validation
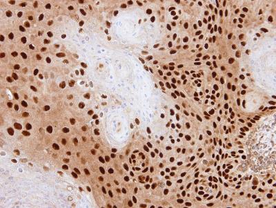
- Submitted by
- Novus Biologicals (provider)
- Main image

- Experimental details
- Immunohistochemistry-Paraffin: PDE6D Antibody [NBP1-32730] - SAS xenograft, using PDE6D antibody at 1:500 dilution. Antigen Retrieval: Trilogy™ (EDTA based, pH 8.0) buffer, 15min.