PA5-110406
antibody from Invitrogen Antibodies
Targeting: SNRNP70
RNPU1Z, RPU1, Snp1, SNRP70, U1-70K
Antibody data
- Antibody Data
- Antigen structure
- References [0]
- Comments [0]
- Validations
- Western blot [1]
- Immunohistochemistry [4]
Submit
Validation data
Reference
Comment
Report error
- Product number
- PA5-110406 - Provider product page

- Provider
- Invitrogen Antibodies
- Product name
- SNRNP70 Polyclonal Antibody
- Antibody type
- Polyclonal
- Antigen
- Synthetic peptide
- Description
- Immunogen sequence: EYEHERDMHS AYKHADGKKI DGRRVLVDVE RGRTVKGWRP RRLGGGLGGT RRGGADVNIR HSGRDDTSRY DERPGPSPLP HRDRDRDRER ERRERSRERD K
- Reactivity
- Human, Mouse, Rat
- Host
- Rabbit
- Isotype
- IgG
- Vial size
- 100 μL
- Concentration
- 1.45 mg/mL
- Storage
- -20°C, Avoid Freeze/Thaw Cycles
No comments: Submit comment
Supportive validation
- Submitted by
- Invitrogen Antibodies (provider)
- Main image

- Experimental details
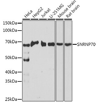
- Western blot analysis of SNRNP70 in extracts of various cell lines. Samples were incubated with SNRNP70 Polyclonal antibody (Product # PA5-110406) using a dilution of 1:1,000, followed by HRP Goat Anti-Rabbit IgG (H+L) at a dilution of 1:10,000. Lysates/proteins: 25 µg per lane. Blocking buffer: 3% nonfat dry milk in TBST. Detection: ECL Basic Kit. Exposure time: 90s.
Supportive validation
- Submitted by
- Invitrogen Antibodies (provider)
- Main image

- Experimental details
- Immunohistochemistry analysis of SNRNP70 in paraffin-embedded rat testis. Samples were incubated with SNRNP70 Polyclonal antibody (Product # PA5-110406) using a dilution of 1:100 (40x lens). Perform microwave antigen retrieval with 10 mM PBS buffer pH 7.2 before commencing with IHC staining protocol.
- Submitted by
- Invitrogen Antibodies (provider)
- Main image

- Experimental details
- Immunohistochemistry analysis of SNRNP70 in paraffin-embedded human cervix cancer. Samples were incubated with SNRNP70 Polyclonal antibody (Product # PA5-110406) using a dilution of 1:100 (40x lens). Perform microwave antigen retrieval with 10 mM PBS buffer pH 7.2 before commencing with IHC staining protocol.
- Submitted by
- Invitrogen Antibodies (provider)
- Main image

- Experimental details
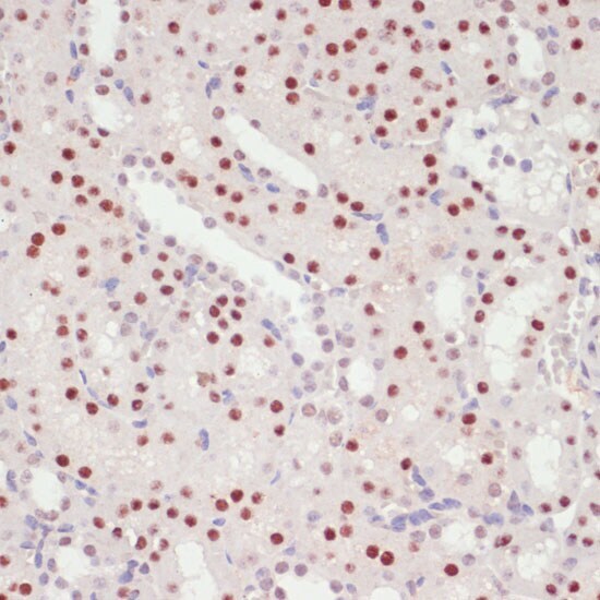
- Immunohistochemistry analysis of SNRNP70 in paraffin-embedded mouse kidney. Samples were incubated with SNRNP70 Polyclonal antibody (Product # PA5-110406) using a dilution of 1:100 (40x lens). Perform microwave antigen retrieval with 10 mM PBS buffer pH 7.2 before commencing with IHC staining protocol.
- Submitted by
- Invitrogen Antibodies (provider)
- Main image

- Experimental details
- Immunohistochemistry analysis of SNRNP70 in paraffin-embedded mouse kidney. Samples were incubated with SNRNP70 Polyclonal antibody (Product # PA5-110406) using a dilution of 1:100 (40x lens). Perform microwave antigen retrieval with 10 mM PBS buffer pH 7.2 before commencing with IHC staining protocol.