Antibody data
- Antibody Data
- Antigen structure
- References [2]
- Comments [0]
- Validations
- Western blot [2]
- Immunohistochemistry [1]
Submit
Validation data
Reference
Comment
Report error
- Product number
- NBP1-57487 - Provider product page

- Provider
- Novus Biologicals
- Proper citation
- Novus Cat#NBP1-57487, RRID:AB_11038521
- Product name
- Rabbit Polyclonal SNRP70 Antibody
- Antibody type
- Polyclonal
- Description
- Immunogen affinity purified.
- Reactivity
- Human, Mouse
- Host
- Rabbit
- Isotype
- IgG
- Vial size
- 100 ul
- Storage
- Store at -20C. Avoid freeze-thaw cycles.
Submitted references FUS regulates genes coding for RNA-binding proteins in neurons by binding to their highly conserved introns.
Transcriptome characterization elucidates signaling networks that control human ES cell growth and differentiation.
Nakaya T, Alexiou P, Maragkakis M, Chang A, Mourelatos Z
RNA (New York, N.Y.) 2013 Apr;19(4):498-509
RNA (New York, N.Y.) 2013 Apr;19(4):498-509
Transcriptome characterization elucidates signaling networks that control human ES cell growth and differentiation.
Brandenberger R, Wei H, Zhang S, Lei S, Murage J, Fisk GJ, Li Y, Xu C, Fang R, Guegler K, Rao MS, Mandalam R, Lebkowski J, Stanton LW
Nature biotechnology 2004 Jun;22(6):707-16
Nature biotechnology 2004 Jun;22(6):707-16
No comments: Submit comment
Supportive validation
- Submitted by
- Novus Biologicals (provider)
- Main image

- Experimental details
- Western Blot: SNRP70 Antibody [NBP1-57487] - Jurkat cell lysate, Antibody Titration: 0.2-1 ug/ml
- Submitted by
- Novus Biologicals (provider)
- Main image

- Experimental details
- Western Blot: SNRP70 Antibody [NBP1-57487] - Antibody Titration: 1 ug/ml HEK293.
Supportive validation
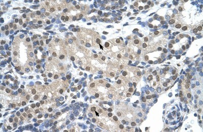
- Submitted by
- Novus Biologicals (provider)
- Main image

- Experimental details
- Immunohistochemistry-Paraffin: SNRP70 Antibody [NBP1-57487] - Human kidney Tissue, antibody concentration 4-8ug/ml. Cells with positive label: renal corpuscle cells (indicated with arrows) 400X magnification.