Antibody data
- Antibody Data
- Antigen structure
- References [0]
- Comments [0]
- Validations
- Immunohistochemistry [1]
Submit
Validation data
Reference
Comment
Report error
- Product number
- GTX85662 - Provider product page

- Provider
- GeneTex
- Proper citation
- GeneTex Cat#GTX85662, RRID:AB_10722999
- Product name
- Niban antibody
- Antibody type
- Polyclonal
- Reactivity
- Human
- Host
- Rabbit
No comments: Submit comment
Supportive validation
- Submitted by
- GeneTex (provider)
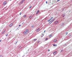
- Main image

- Experimental details
- Human Heart (formalin-fixed, paraffin-embedded) stained with FAM129A antibody (GTX85662) at 10 ug/ml followed by biotinylated goat anti-rabbit IgG secondary antibody LS-D1, alkaline phosphatase-streptavidin and chromogen.