Antibody data
- Antibody Data
- Antigen structure
- References [1]
- Comments [0]
- Validations
- Western blot [2]
- Immunohistochemistry [2]
Submit
Validation data
Reference
Comment
Report error
- Product number
- TA327332 - Provider product page

- Provider
- OriGene
- Product name
- ABCC4 Rabbit Polyclonal Antibody
- Antibody type
- Polyclonal
- Description
- ABCC4 Rabbit Polyclonal Antibody
- Host
- Rabbit
- Conjugate
- Unconjugated
- Epitope
- ABCC4
- Isotype
- IgG
- Antibody clone number
- NULL
- Vial size
- 100 µg
- Concentration
- 1mg/ml
Submitted references Multidrug Resistance-Associated Protein 4 (MRP4/ABCC4) Controls Efflux Transport of Hesperetin Sulfates in Sulfotransferase 1A3-Overexpressing Human Embryonic Kidney 293 Cells.
Sun H, Wang X, Zhou X, Lu D, Ma Z, Wu B
Drug metabolism and disposition: the biological fate of chemicals 2015 Oct;43(10):1430-40
Drug metabolism and disposition: the biological fate of chemicals 2015 Oct;43(10):1430-40
No comments: Submit comment
Supportive validation
- Submitted by
- OriGene (provider)
- Main image

- Experimental details
- Western blot analysis of extracts of kindney cell lines, using ABCC4 antibody.
- Submitted by
- OriGene (provider)
- Main image

- Experimental details
- Western blot analysis of extracts of kindney cell lines, using ABCC4 antibody.
- Validation comment
- WB
Supportive validation
- Submitted by
- OriGene (provider)
- Main image

- Experimental details
- Immunohistochemical of paraffin-embedded human esophageal cancer using ABCC4 antibody at dilution of 1:200 (200x lens).
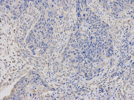
- Submitted by
- OriGene (provider)
- Main image

- Experimental details
- Immunohistochemistry of paraffin-embedded human esophagus using ABCC4 antibody at dilution of 1:200 (200x lens).