Antibody data
- Antibody Data
- Antigen structure
- References [0]
- Comments [0]
- Validations
- Immunohistochemistry [2]
Submit
Validation data
Reference
Comment
Report error
- Product number
- AP23986PU-N - Provider product page

- Provider
- OriGene
- Product name
- Goat Polyclonal Anti-PER2 Antibody, Purified
- Antibody type
- Polyclonal
- Description
- Goat Polyclonal Anti-PER2 Antibody, Purified
- Reactivity
- Human
- Host
- Goat
- Conjugate
- Unconjugated
- Isotype
- IgG
- Vial size
- 50ug
- Concentration
- 0,5 mg/ml
No comments: Submit comment
Supportive validation
- Submitted by
- OriGene (provider)
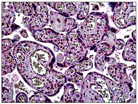
- Main image

- Experimental details
- Human Placenta: Formalin-Fixed, Paraffin-Embedded (FFPE)
- Validation comment
- IHC
- Submitted by
- OriGene (provider)
- Main image

- Experimental details
- Human Heart: Formalin-Fixed, Paraffin-Embedded (FFPE)
- Validation comment
- IHC