Antibody data
- Antibody Data
- Antigen structure
- References [0]
- Comments [0]
- Validations
- Western blot [1]
- Immunohistochemistry [1]
Submit
Validation data
Reference
Comment
Report error
- Product number
- GTX115798 - Provider product page

- Provider
- GeneTex
- Proper citation
- GeneTex Cat#GTX115798, RRID:AB_10619696
- Product name
- TRAF3IP1 antibody [N1N2], N-term
- Antibody type
- Polyclonal
- Reactivity
- Human, Mouse, Rat
- Host
- Rabbit
No comments: Submit comment
Supportive validation
- Submitted by
- GeneTex (provider)
- Main image

- Experimental details
- Sample (30 ug of whole cell lysate) A: U87-MG 7.5% SDS PAGE GTX115798 diluted at 1:3000
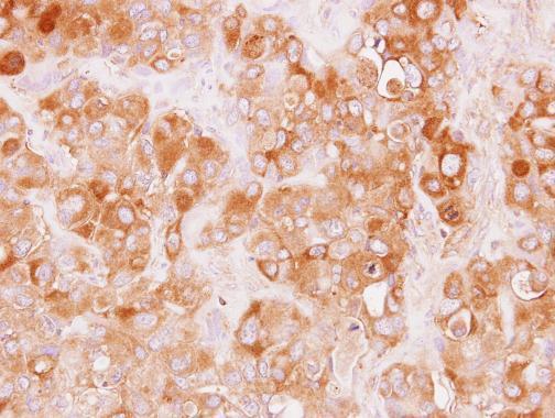
Supportive validation
- Submitted by
- GeneTex (provider)
- Main image

- Experimental details
- Immunohistochemical analysis of paraffin-embedded H441 xenograft, using TRAF3IP1(GTX115798) antibody at 1:100 dilution.