Antibody data
- Antibody Data
- Antigen structure
- References [0]
- Comments [0]
- Validations
- Flow cytometry [1]
- Other assay [2]
Submit
Validation data
Reference
Comment
Report error
- Product number
- STJ70690 - Provider product page

- Provider
- St John's Laboratory
- Product name
- Anti-Proopiomelanocortin/POMC antibody (C-Term) (STJ70690)
- Antibody type
- Polyclonal
- Description
- Goat polyclonal antibody anti-Proopiomelanocortin/POMC (C-Term) is suitable for use in ELISA and Western Blot research applications.
- Reactivity
- Human, Mouse, Rat
- Host
- Goat
- Conjugate
- Unconjugated
- Antigen sequence
NAIIKNAYKKGE- Epitope
- NA
- Isotype
- IgG
- Antibody clone number
- NA
- Vial size
- NA
- Concentration
- NA
- Storage
- Store at-20 on receipt and minimise freeze-thaw cycles.
- Handling
- NA
No comments: Submit comment
Supportive validation
- Submitted by
- St John's Laboratory (provider)
- Main image

- Experimental details
- STJ70690 Flow cytometric analysis of paraformaldehyde fixed A431 cells (blue line) , permeabilized with 0. 5% Triton. Primary incubation 1hr (10ug/ml) followed by Alexa Fluor 488 secondary antibody (1ug/ml). IgG control: Unimmunized goat IgG (black line) followed by Alexa Fluor 488 secondary antibody.
- Sample type
- NA
- Validation comment
- NA
- Primary Ab dilution
- NA
- Other comments
- NA
- Secondary Ab
- NA
- Secondary Ab dilution
- NA
- Protocol
- NA
Supportive validation
Supportive validation
- Submitted by
- St John's Laboratory (provider)
- Main image

- Experimental details
- STJ70690 (0. 3µg/ml) staining of NIH3T3 cell lysate (A) and (2ug/ml) Rat Brain (B) lysate (35µg protein in RIPA buffer). Detected by chemiluminescence.
- Sample type
- NA
- Validation comment
- NA
- Primary Ab dilution
- NA
- Other comments
- NA
- Secondary Ab
- NA
- Secondary Ab dilution
- NA
- Protocol
- NA
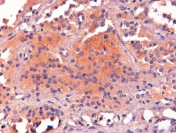
Supportive validation
- Submitted by
- St John's Laboratory (provider)
- Main image

- Experimental details
- STJ70690 (2µg/ml) staining of paraffin embedded Human Pituitary Gland. Steamed antigen retrieval with Tris/EDTA buffer pH 9, HRP-staining.
- Sample type
- NA
- Validation comment
- NA
- Primary Ab dilution
- NA
- Other comments
- NA
- Secondary Ab
- NA
- Secondary Ab dilution
- NA
- Protocol
- NA