Antibody data
- Antibody Data
- Antigen structure
- References [0]
- Comments [0]
- Validations
- Western blot [2]
- Immunohistochemistry [1]
Submit
Validation data
Reference
Comment
Report error
- Product number
- STJ95850 - Provider product page 
- Provider
- St John's Laboratory
- Product name
- Anti-Synaptotagmin antibody (150-230) (STJ95850)
- Antibody type
- Polyclonal
- Description
- Rabbit polyclonal antibody anti-Synaptotagmin-1 and Synaptotagmin-2 (150-230) is suitable for use in Western Blot, Immunohistochemistry, Immunofluorescence and ELISA research applications.
- Reactivity
- Human, Mouse, Rat
- Host
- Rabbit
- Conjugate
- Unconjugated
- Antigen sequence
- NA
- Epitope
- NA
- Isotype
- IgG
- Antibody clone number
- NA
- Vial size
- NA
- Concentration
- NA
- Storage
- Store at-20°C for up to 1 year from the date of receipt, and avoid repeat freeze-thaw cycles.
- Handling
- NA
				No comments: Submit comment	
	
			
							
					Supportive validation
					
									
				
Supportive validation
		
				- Submitted by
- St John's Laboratory (provider)
- Main image
 
- Experimental details
- Western blot analysis of lysates from HeLa cells, using Synaptotagmin Antibody. The lane on the right is blocked with the synthesized peptide.
- Sample type
- NA
- Validation comment
- NA
- Primary Ab dilution
- NA
- Other comments
- NA
- Secondary Ab
- NA
- Secondary Ab dilution
- NA
- Protocol
- NA
Supportive validation
- Submitted by
- St John's Laboratory (provider)
- Main image
 
- Experimental details
- Western blot analysis of various cells using Synaptotagmin Polyclonal Antibody
- Sample type
- NA
- Validation comment
- NA
- Primary Ab dilution
- NA
- Other comments
- NA
- Secondary Ab
- NA
- Secondary Ab dilution
- NA
- Protocol
- NA
							
					Supportive validation
					
									
				
		
		- Submitted by
- St John's Laboratory (provider)
- Main image
 
- Experimental details
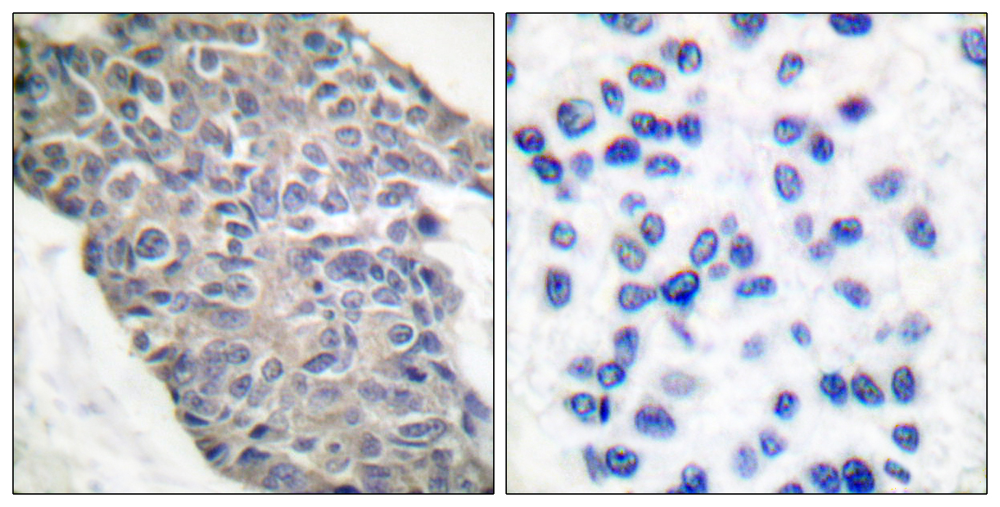
- Immunohistochemistry analysis of paraffin-embedded human breast carcinoma tissue, using Synaptotagmin Antibody. The picture on the right is blocked with the synthesized peptide.
- Sample type
- NA
- Validation comment
- NA
- Primary Ab dilution
- NA
- Other comments
- NA
- Secondary Ab
- NA
- Secondary Ab dilution
- NA
- Protocol
- NA