Antibody data
- Antibody Data
- Antigen structure
- References [0]
- Comments [0]
- Validations
- Western blot [2]
- Immunohistochemistry [3]
Submit
Validation data
Reference
Comment
Report error
- Product number
- AM09070PU-N - Provider product page

- Provider
- Acris Antibodies GmbH
- Proper citation
- Acris Antibodies GmbH Cat#AM09070PU-N, RRID:AB_1873970
- Product name
- anti CHI3L1
- Antibody type
- Monoclonal
- Antigen
- Recombinant human CHI3L1 (22-383 aa) purified from E. coli
- Reactivity
- Human
- Host
- Mouse
- Isotype
- IgG
- Antibody clone number
- AT4A3
- Vial size
- 0.1 ml
- Concentration
- 1.0 mg/ml
No comments: Submit comment
Supportive validation
- Submitted by
- Acris Antibodies GmbH (provider)
- Main image

- Experimental details
- Western blot analysis: Cell lysates of HepG2 (35 µg) were resolved by SDS-PAGE, transferred to NC membrane and probed with anti-human CHI3L1 antibody (1/250). Proteins were visualized using a goat anti-mouse secondary antibody conjugated to HRP and an ECL detection system.
- Submitted by
- Acris Antibodies GmbH (provider)
- Main image

- Experimental details
- Cell lysates of HepG2 (35ug) were resolved by SDS-PAGE, transferred to NC membrane and probed with anti-human CHI3L1 (1:250). Proteins were visualized using a goat anti-mouse secondary antibody conjugated to HRP and an ECL detection system.
Supportive validation
- Submitted by
- Acris Antibodies GmbH (provider)
- Main image

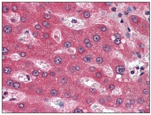
- Experimental details
- Immunohistochemistry: AM09070PU-N CHI3L1 antibody staining of Formalin-Fixed, Paraffin-Embedded Human Liver at 5 µg/ml followed by biotinylated anti-Mouse IgG secondary antibody, alkaline phosphatase-streptavidin and chromogen.
- Submitted by
- Acris Antibodies GmbH (provider)
- Main image

- Experimental details
- Immunohistochemistry: AM09070PU-N CHI3L1 antibody staining of Formalin-Fixed, Paraffin-Embedded Human Spleen Macrophages at 5 µg/ml followed by biotinylated anti-Mouse IgG secondary antibody, alkaline phosphatase-streptavidin and chromogen.
- Submitted by
- Acris Antibodies GmbH (provider)
- Main image

- Experimental details
- Immunohistochemistry: AM09070PU-N CHI3L1 antibody staining of Formalin-Fixed, Paraffin-Embedded Human Spleen Macrophages at 5 µg/ml followed by biotinylated anti-Mouse IgG secondary antibody, alkaline phosphatase-streptavidin and chromogen.