Antibody data
- Antibody Data
- Antigen structure
- References [0]
- Comments [0]
- Validations
- Western blot [1]
- Immunohistochemistry [1]
Submit
Validation data
Reference
Comment
Report error
- Product number
- TA321453 - Provider product page

- Provider
- OriGene
- Product name
- Anti-KISS1 Antibody
- Antibody type
- Polyclonal
- Antigen
- Synthetic peptide corresponding to a region derived from 124-138 amino acids of Human KiSS-1 metastasis-suppressor
- Description
- Anti-KISS1 Rabbit Polyclonal Antibody
- Reactivity
- Human, Mouse, Rat
- Host
- Rabbit
- Isotype
- IgG
- Vial size
- 100 µl
- Concentration
- 0.2mg/ml
No comments: Submit comment
Supportive validation
- Submitted by
- OriGene (provider)
- Main image

- Experimental details
- Predicted band size: 15 kDa . Positive control: Mouse brain tissue lysate. Recommended dilution: 1/200-1000. (Gel: 12%SDS-PAGE Lysate: 40 ug Primary antibody: 1/100 dilution Secondary antibody: Goat anti Rabbit IgG - H&L (HRP) at 1/10000 dilution Exposure time: 20 seconds)
- Validation comment
- WB
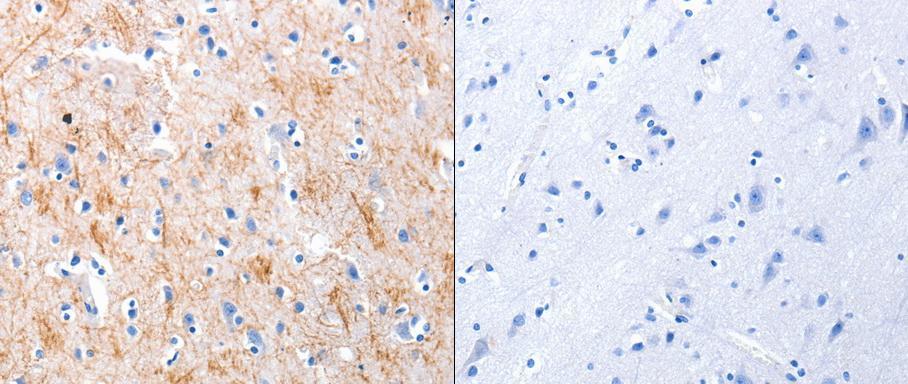
Supportive validation
- Submitted by
- OriGene (provider)
- Main image

- Experimental details
- Predicted cell location: Cytoplasm. Positive control: Human brain tissue. Recommended dilution: 1/5-20 The image on the left is immunohistochemistry of paraffin-embedded Human brain tissue using KISS1 antibody at dilution 1/5, on the right is treated with the synthetic peptide. (Original magnification: x200)
- Validation comment
- IHC