Antibody data
- Antibody Data
- Antigen structure
- References [1]
- Comments [0]
- Validations
- Immunohistochemistry [1]
Submit
Validation data
Reference
Comment
Report error
- Product number
- MA1061 - Provider product page

- Provider
- Boster Biological Technology
- Product name
- Anti-Mucin Gastric MUC5AC Antibody (Monoclonal, 45M1)
- Antibody type
- Monoclonal
- Description
- Monoclonal clone# G2 antibody for MUCIN 5B/MUC5B detection. Host: Mouse.Size: 100μg/vial. Tested applications: IHC-P. Reactive species: Human. MUCIN 5B/MUC5B information: Molecular Weight: 585570 MW; Subcellular Localization: Secreted ; Tissue Specificity: Highly expressed in surface mucosal cells of respiratory tract and stomach epithelia. Overexpressed in a number of carcinomas. Also expressed in Barrett's esophagus epithelium and in the proximal duodenum.
- Reactivity
- Human, Rat, Rabbit
- Host
- Mouse
- Antibody clone number
- 45M1
- Vial size
- 100μg/vial
- Concentration
- Add 1ml of PBS buffer will yield a concentration of 100ug/ml.
- Storage
- At -20°C for one year. After reconstitution, at 4°C for one month. It can also be aliquoted and stored frozen at -20°C for a longer time. Avoid repeated freezing and thawing.
- Handling
- Add 1ml of PBS buffer will yield a concentration of 100ug/ml.
Submitted references Protective role of overexpressed MUC5AC against fibrosis in MHV-68-induced combined pulmonary fibrosis and emphysema mouse model.
He L, Feng QQ, Zhang Q, Zhang B, Wu SS, Gong JH
Journal of medical virology 2020 Dec;92(12):3726-3735
Journal of medical virology 2020 Dec;92(12):3726-3735
No comments: Submit comment
Supportive validation
- Submitted by
- Boster Biological Technology (provider)
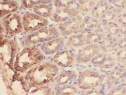
- Main image

- Experimental details
- Anti- Mucin Gastric antibody, MA1061, IHC(P)IHC(P): Human Gastric Cancer Tissue
- Additional image
