Antibody data
- Antibody Data
- Antigen structure
- References [2]
- Comments [0]
- Validations
- Immunohistochemistry [4]
Submit
Validation data
Reference
Comment
Report error
- Product number
- bs-3904R - Provider product page

- Provider
- Bioss
- Proper citation
- Bioss Cat#bs-3904R, RRID:AB_10857588
- Product name
- HSD11B1 Polyclonal Antibody
- Antibody type
- Polyclonal
- Description
- KLH conjugated synthetic peptide derived from human HSD11B1
- Reactivity
- Human, Mouse, Rat
- Host
- Rabbit
- Conjugate
- Unconjugated
- Isotype
- IgG
- Vial size
- 100ul
- Concentration
- 1ug/ul
- Storage
- Aqueous buffered solution containing 1% BSA, 50% glycerol and 0.09% sodium azide. Store at -20°C for 12 months.
Submitted references Polydatin Attenuates H2O2-Induced Oxidative Stress via PKC Pathway.
Estrogen suppresses hepatocellular carcinoma cells through ERβ-mediated upregulation of the NLRP3 inflammasome.
Qiao H, Chen H, Dong Y, Ma H, Zhao G, Tang F, Li Z
Oxidative medicine and cellular longevity 2016;2016:5139458
Oxidative medicine and cellular longevity 2016;2016:5139458
Estrogen suppresses hepatocellular carcinoma cells through ERβ-mediated upregulation of the NLRP3 inflammasome.
Wei Q, Guo P, Mu K, Zhang Y, Zhao W, Huai W, Qiu Y, Li T, Ma X, Liu Y, Chen X, Han L
Laboratory investigation; a journal of technical methods and pathology 2015 Jul;95(7):804-16
Laboratory investigation; a journal of technical methods and pathology 2015 Jul;95(7):804-16
No comments: Submit comment
Supportive validation
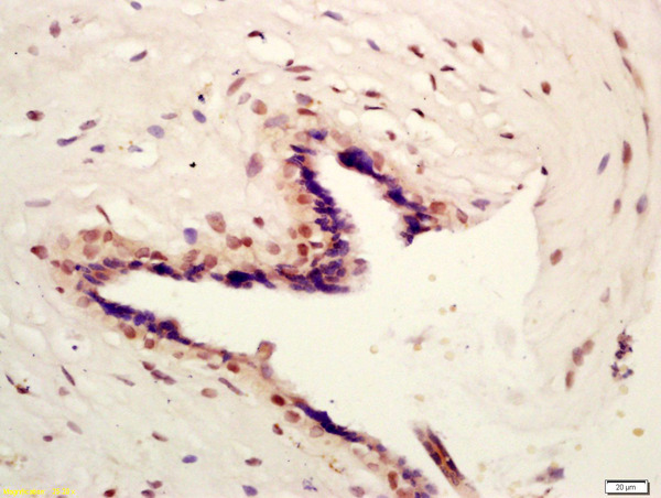
- Submitted by
- Bioss (provider)
- Main image

- Experimental details
- Formalin-fixed and paraffin embedded mouse intestine labeled with Anti-HSD11B1 Polyclonal Antibody, Unconjugated (bs-3904R) at 1:200 followed by conjugation to the secondary antibody and DAB staining
- Sample type
- Mouse
- Other comments
- Intestine
- Submitted by
- Bioss (provider)
- Main image

- Experimental details
- Formalin-fixed and paraffin embedded human placenta labeled with Anti-HSD11B1 Polyclonal Antibody, Unconjugated (bs-3904R) at 1:200 followed by conjugation to the secondary antibody and DAB staining
- Sample type
- Human
- Other comments
- Placenta
- Submitted by
- Bioss (provider)
- Main image

- Experimental details
- This image was kindly submitted by Dragos Scarlet DVM, MSc from the University of Vienna as part of the Bioss Discovery Progarm. Paraffin embedded horse duodenum labeled with Anti-11ßHSD1 Polyclonal Antibody, Unconjugated (bs-3904R) at 1:200 followed by conjugation to the secondary antibody and DAB staining
- Sample type
- Horse
- Other comments
- Intestine
- Submitted by
- Bioss (provider)
- Main image

- Experimental details
- This image was kindly submitted by Dragos Scarlet DVM, MSc from the University of Vienna as part of the Bioss Discovery Progarm. Paraffin embedded horse kidney labeled with Anti-11ßHSD1 Polyclonal Antibody, Unconjugated (bs-3904R) at 1:200 followed by conjugation to the secondary antibody and DAB staining
- Sample type
- Horse
- Other comments
- Kidney