RQ6931
antibody from NSJ Bioreagents
Targeting: TAF1
BA2R, CCG1, CCGS, DYT3, DYT3/TAF1, KAT4, NSCL2, TAF2A, TAFII250
Antibody data
- Antibody Data
- Antigen structure
- References [0]
- Comments [0]
- Validations
- Western blot [1]
- Flow cytometry [1]
Submit
Validation data
Reference
Comment
Report error
- Product number
- RQ6931 - Provider product page

- Provider
- NSJ Bioreagents
- Product name
- TAF1 Antibody / Transcription initiation factor TFIID subunit 1
- Antibody type
- Polyclonal
- Description
- This highly specific TAF1 antibody is suitable for use in Western blot/Flow cytometry/Direct ELISA applications with human, mouse and rat samples.
- Reactivity
- Human, Mouse, Rat
- Host
- Rabbit
- Conjugate
- Unconjugated
- Vial size
- 100 ug
- Concentration
- 0.5mg/ml if reconstituted with 0.2ml sterile DI water
- Storage
- After reconstitution, the TAF1 antibody can be stored for up to one month at 4oC. For long-term, aliquot and store at -20oC. Avoid repeated freezing and thawing.
No comments: Submit comment
Supportive validation
- Submitted by
- NSJ Bioreagents (provider)
- Main image

- Experimental details
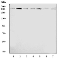
- Western blot testing of 1) human HeLa, 2) human HepG2, 3) human 293T, 4) human Jurkat, 5) rat brain, 6) mouse brain and 7) mouse lung lysate with TAF1 antibody. Expected molecular weight ~250 kDa.
Supportive validation
- Submitted by
- NSJ Bioreagents (provider)
- Main image

- Experimental details
- Flow cytometry testing of human ThP-1 cells with TAF1 antibody at 1ug/million cells (blocked with goat sera); Red=cells alone, Green=isotype control, Blue= TAF1 antibody.