Antibody data
- Antibody Data
- Antigen structure
- References [1]
- Comments [0]
- Validations
- Western blot [1]
- Immunohistochemistry [2]
Submit
Validation data
Reference
Comment
Report error
- Product number
- 18053-1-AP - Provider product page

- Provider
- Proteintech Group
- Proper citation
- Proteintech Cat#18053-1-AP, RRID:AB_2284584
- Product name
- PTPN14 antibody
- Antibody type
- Polyclonal
- Description
- PTPN14 antibody (Cat. #18053-1-AP) is a rabbit polyclonal antibody that shows reactivity with human and has been validated for the following applications: IHC, WB, ELISA.
- Reactivity
- Human
- Host
- Rabbit
- Conjugate
- Unconjugated
- Isotype
- IgG
- Vial size
- 20ul, 150ul
Submitted references CDC20 is a potential target gene to inhibit the tumorigenesis of MDCK cells.
Liu Z, Pei M, Liu G, Qiu Z, Wang S, Qiao Z, Wang J, Jin D, Zhang J, Duan K, Nian X, Ma Z, Yang X
Biologicals : journal of the International Association of Biological Standardization 2023 Aug;83:101697
Biologicals : journal of the International Association of Biological Standardization 2023 Aug;83:101697
No comments: Submit comment
Supportive validation
- Submitted by
- Proteintech Group (provider)
- Main image

- Experimental details
- K-562 cells were subjected to SDS PAGE followed by western blot with 18053-1-AP(PTPN14 antibody) at dilution of 1:400
- Sample type
- cell line
Supportive validation
- Submitted by
- Proteintech Group (provider)
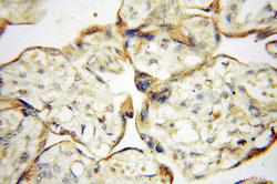
- Main image

- Experimental details
- Immunohistochemical of paraffin-embedded human placenta using 18053-1-AP(PTPN14 antibody) at dilution of 1:50 (under 10x lens)
- Sample type
- tissue
- Submitted by
- Proteintech Group (provider)
- Main image

- Experimental details
- The PTPN14 antibody from Proteintech is a rabbit polyclonal antibody to a recombinant protein of human PTPN14. This antibody recognizes human,mouse,rat antigen. The PTPN14 antibody has been validated for the following applications: ELISA, WB, IHC analysis.