Antibody data
- Antibody Data
- Antigen structure
- References [0]
- Comments [0]
- Validations
- Immunocytochemistry [2]
- Immunohistochemistry [3]
Submit
Validation data
Reference
Comment
Report error
- Product number
- PA5-56341 - Provider product page

- Provider
- Invitrogen Antibodies
- Product name
- SPATA17 Polyclonal Antibody
- Antibody type
- Polyclonal
- Antigen
- Recombinant protein fragment
- Description
- Immunogen sequence: KEPDPWELQL QKAKPLTHRR PKVKQKDSTS LTDWLACTSA RSFPRSEILP PINRKQCQGP FRDITEVLEQ RYRPLEPTLR VAEPIDEL Highest antigen sequence identity to the following orthologs: Mouse - 71%, Rat - 73%.
- Reactivity
- Human
- Host
- Rabbit
- Isotype
- IgG
- Vial size
- 100 μL
- Concentration
- 0.3 mg/mL
- Storage
- Store at 4°C short term. For long term storage, store at -20°C, avoiding freeze/thaw cycles.
No comments: Submit comment
Supportive validation
- Submitted by
- Invitrogen Antibodies (provider)
- Main image

- Experimental details
- Immunofluorescent staining of SPATA17 in human cell line MCF7 shows positivity in nucleoli. Samples were probed using a SPATA17 Polyclonal Antibody (Product # PA5-56341).
- Submitted by
- Invitrogen Antibodies (provider)
- Main image

- Experimental details
- Immunofluorecent analysis of SPATA17 in human cell line MCF7 using SPATA17 Polyclonal Antibody (Product # PA5-56341). Staining shows localization to nucleoli.
Supportive validation
- Submitted by
- Invitrogen Antibodies (provider)
- Main image

- Experimental details
- Immunohistochemical staining of SPATA17 in human testis and pancreas tissues using SPATA17 Polyclonal Antibody (Product # PA5-56341). Corresponding SPATA17 RNA-seq data are presented for the same tissues.
- Submitted by
- Invitrogen Antibodies (provider)
- Main image

- Experimental details
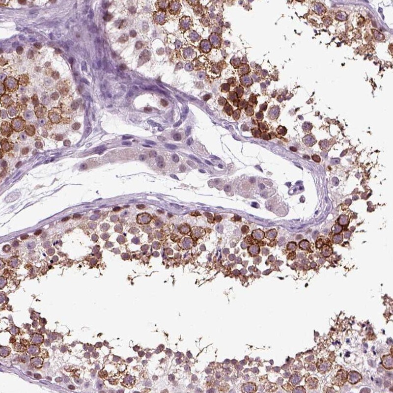
- Immunohistochemical staining of SPATA17 in human testis using SPATA17 Polyclonal Antibody (Product # PA5-56341) shows high expression.
- Submitted by
- Invitrogen Antibodies (provider)
- Main image

- Experimental details
- Immunohistochemical staining of SPATA17 in human pancreas using SPATA17 Polyclonal Antibody (Product # PA5-56341) shows low expression as expected.