Antibody data
- Antibody Data
- Antigen structure
- References [1]
- Comments [0]
- Validations
- Western blot [1]
- Immunohistochemistry [2]
Submit
Validation data
Reference
Comment
Report error
- Product number
- 16461-1-AP - Provider product page

- Provider
- Proteintech Group
- Proper citation
- Proteintech Cat#16461-1-AP, RRID:AB_2067193
- Product name
- BPNT1 antibody
- Antibody type
- Polyclonal
- Description
- BPNT1 antibody (Cat. #16461-1-AP) is a rabbit polyclonal antibody that shows reactivity with human, mouse, rat and has been validated for the following applications: IF, IHC, WB,ELISA.
- Reactivity
- Human, Mouse, Rat
- Host
- Rabbit
- Conjugate
- Unconjugated
- Isotype
- IgG
- Vial size
- 20ul, 150ul
Submitted references Proteomic analysis of rat colonic mucosa following acupuncture treatment for irritable bowel syndrome with diarrhea.
Liu J, Peng R, Tan Q, Li B, Chen J, Liu G, Wang Y, Li C, Li J, Wang H
PloS one 2022;17(9):e0273853
PloS one 2022;17(9):e0273853
No comments: Submit comment
Supportive validation
- Submitted by
- Proteintech Group (provider)
- Main image

- Experimental details
- HeLa cells were subjected to SDS PAGE followed by western blot with 16461-1-AP(BPNT1 antibody) at dilution of 1:500
- Sample type
- cell line
Supportive validation
- Submitted by
- Proteintech Group (provider)
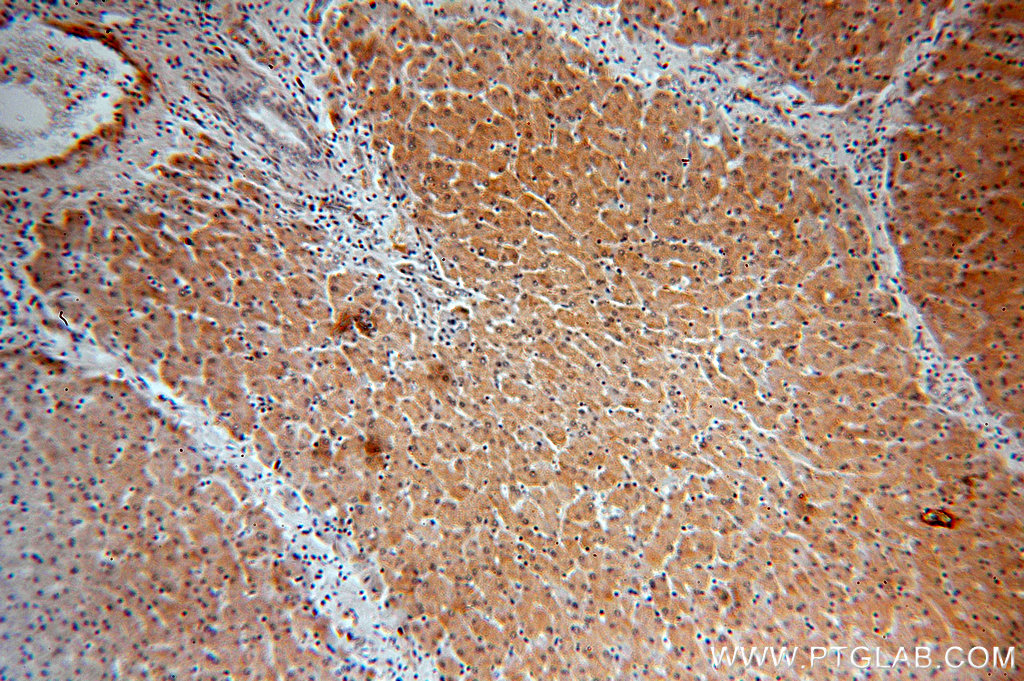
- Main image

- Experimental details
- Immunohistochemical of paraffin-embedded human liver using 16461-1-AP(BPNT1 antibody) at dilution of 1:100 (under 10x lens)
- Sample type
- tissue
- Submitted by
- Proteintech Group (provider)
- Main image

- Experimental details
- The BPNT1 antibody from Proteintech is a rabbit polyclonal antibody to a recombinant protein of human BPNT1. This antibody recognizes human, mouse, rat antigen. The BPNT1 antibody has been validated for the following applications: ELISA, WB, IHC analysis.