Antibody data
- Antibody Data
 - Antigen structure
 - References [3]
 - Comments [0]
 - Validations
 - Immunohistochemistry [1]
 - Flow cytometry [1]
 
Submit
Validation data
Reference
Comment
Report error
- Product number
 - ABIN954653 - Provider product page

 - Provider
 - antibodies-online
 - Product name
 - anti-S100 Calcium Binding Protein A8 (S100A8) antibody (FITC)
 - Antibody type
 - Monoclonal
 - Description
 - Protein G Chromatography of Ascitic fluid.
 - Reactivity
 - Human
 - Host
 - Mouse
 - Conjugate
 - Green dye
 - Isotype
 - IgG
 - Antibody clone number
 - CF-145
 - Vial size
 - 0.1 mg
 - Storage
 - Store the antibody undiluted at 2-8°C for one month or (in aliquots) at -20°C for longer.
 - Handling
 - Avoid repeated freezing and thawing.
 
Submitted references		Cell type and gene-specific activity of the retinoid inverse agonist AGN 193109: divergent effects from agonist at retinoic acid receptor gamma in human keratinocytes.
				
Identification and functional separation of retinoic acid receptor neutral antagonists and inverse agonists.
				
Negative regulation of two hyperproliferative keratinocyte differentiation markers by a retinoic acid receptor-specific retinoid: insight into the mechanism of retinoid action in psoriasis.
				
		
	
			Thacher SM, Nagpal S, Klein ES, Arefieg T, Krasinski G, DiSepio D, Agarwal C, Johnson A, Eckert RL, Chandraratna RA
Cell growth & differentiation : the molecular biology journal of the American Association for Cancer Research 1999 Apr;10(4):255-62
		Cell growth & differentiation : the molecular biology journal of the American Association for Cancer Research 1999 Apr;10(4):255-62
Identification and functional separation of retinoic acid receptor neutral antagonists and inverse agonists.
			Klein ES, Pino ME, Johnson AT, Davies PJ, Nagpal S, Thacher SM, Krasinski G, Chandraratna RA
The Journal of biological chemistry 1996 Sep 13;271(37):22692-6
		The Journal of biological chemistry 1996 Sep 13;271(37):22692-6
Negative regulation of two hyperproliferative keratinocyte differentiation markers by a retinoic acid receptor-specific retinoid: insight into the mechanism of retinoid action in psoriasis.
			Nagpal S, Thacher SM, Patel S, Friant S, Malhotra M, Shafer J, Krasinski G, Asano AT, Teng M, Duvic M, Chandraratna RA
Cell growth & differentiation : the molecular biology journal of the American Association for Cancer Research 1996 Dec;7(12):1783-91
		Cell growth & differentiation : the molecular biology journal of the American Association for Cancer Research 1996 Dec;7(12):1783-91
				No comments: Submit comment	
	
			
							
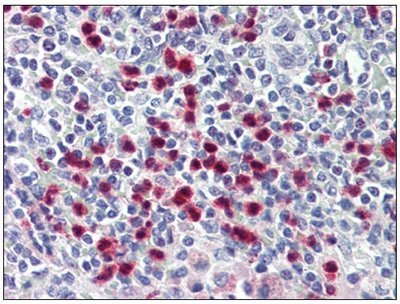
					Supportive validation
					
									
				
				- Submitted by
 - antibodies-online (provider)
 - Main image
 
- Experimental details
 - IHC
 
							
					Supportive validation
					
									
				
		- Submitted by
 - antibodies-online (provider)
 - Main image
 
- Experimental details
 - FACS