Antibody data
- Antibody Data
- Antigen structure
- References [0]
- Comments [0]
- Validations
- Western blot [2]
- Immunocytochemistry [1]
- Immunohistochemistry [2]
Submit
Validation data
Reference
Comment
Report error
- Product number
- 26421-1-AP - Provider product page

- Provider
- Invitrogen Antibodies
- Product name
- ENAH Polyclonal Antibody
- Antibody type
- Polyclonal
- Antigen
- Other
- Reactivity
- Human
- Host
- Rabbit
- Isotype
- IgG
- Vial size
- 150 µL
- Concentration
- 0.39 mg/mL
- Storage
- -20°C
No comments: Submit comment
Supportive validation
- Submitted by
- Invitrogen Antibodies (provider)
- Main image

- Experimental details
- U-251 cells were subjected to SDS PAGE followed by western blot with 26421-1-AP ( ENAH Antibody) at dilution of 1:2000 incubated at room temperature for 1.5 hours.
- Submitted by
- Invitrogen Antibodies (provider)
- Main image

- Experimental details
- MCF-7 cells were subjected to SDS PAGE followed by western blot with 26421-1-AP (ENAH Antibody) at dilution of 1:2000 incubated at room temperature for 1.5 hours.
Supportive validation
- Submitted by
- Invitrogen Antibodies (provider)
- Main image

- Experimental details
- Immunofluorescent analysis of ( -20°C Ethanol ) fixed MCF-7 cells using 26421-1-AP (ENAH antibody) at dilution of 1:50 and Alexa Fluor 488-conjugated AffiniPure Goat Anti-Rabbit IGG (H+L).
Supportive validation
- Submitted by
- Invitrogen Antibodies (provider)
- Main image

- Experimental details
- Immunohistochemistry of paraffin-embedded human breast cancer tissue slide using 26421-1-AP ( ENAH Antibody) at dilution of 1:200 (under 10x lens).
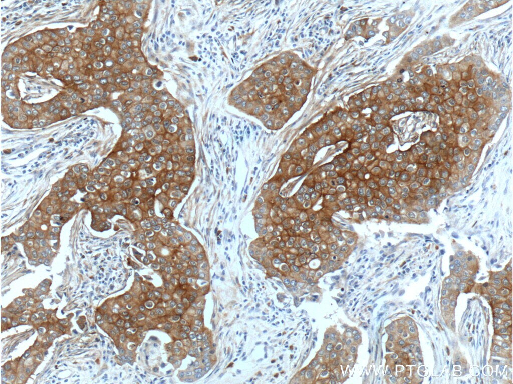
- Submitted by
- Invitrogen Antibodies (provider)
- Main image

- Experimental details
- Immunohistochemistry of paraffin-embedded human breast cancer tissue slide using 26421-1-AP ( ENAH Antibody) at dilution of 1:200 (under 40x lens).