Antibody data
- Antibody Data
- Antigen structure
- References [0]
- Comments [0]
- Validations
- Western blot [2]
- Immunocytochemistry [1]
- Immunoprecipitation [1]
- Immunohistochemistry [10]
- Other assay [1]
Submit
Validation data
Reference
Comment
Report error
- Product number
- TA327349 - Provider product page

- Provider
- OriGene
- Product name
- DiMethyl-Histone H3-K27 Rabbit Polyclonal Antibody
- Antibody type
- Polyclonal
- Description
- DiMethyl-Histone H3-K27 Rabbit Polyclonal Antibody
- Host
- Rabbit
- Conjugate
- Unconjugated
- Epitope
- HIST3H3
- Isotype
- IgG
- Antibody clone number
- NULL
- Vial size
- 100 µg
- Concentration
- 1mg/ml
No comments: Submit comment
Supportive validation
- Submitted by
- OriGene (provider)
- Main image

- Experimental details
- Western blot analysis of extracts of HeLa cell line and H3 protein expressed in E.coli., using DiMethyl-Histone H3-K27 antibody.
- Submitted by
- OriGene (provider)
- Main image

- Experimental details
- Western blot analysis of extracts of HeLa cell line and H3 protein expressed in E.coli., using H3K27me2 antibody.
- Validation comment
- WB
Supportive validation
- Submitted by
- OriGene (provider)
- Main image

- Experimental details
- Immunofluorescence analysis of 293T cell using H3K27me2 antibody. Blue: DAPI for nuclear staining.
- Validation comment
- IF
Supportive validation
- Submitted by
- OriGene (provider)
- Main image

- Experimental details
- Chromatin immunoprecipitation analysis extracts of 293 cell line, using DiMethyl-Histone H3-K27 antibody and rabbit IgG. The amount of immunoprecipitated DNA was checked by quantitative PCR. Histogram was constructed by the ratios of the immunoprecipitated DNA to the input.
- Validation comment
- IP
Supportive validation
- Submitted by
- OriGene (provider)
- Main image

- Experimental details
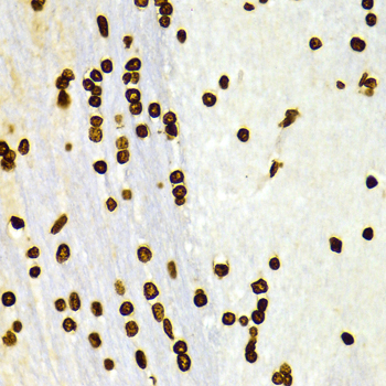
- Immunohistochemistry of paraffin-embedded rat lung tissue using H3K27me2 antibody at dilution of 1:200 (x400 lens).
- Validation comment
- IHC
- Submitted by
- OriGene (provider)
- Main image

- Experimental details
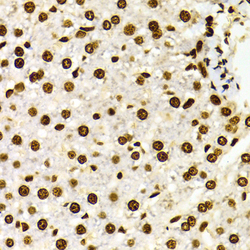
- Immunohistochemistry of paraffin-embedded Rat liver using H3K27me2 antibody at dilution of 1:100 (x400 lens).
- Validation comment
- IHC
- Submitted by
- OriGene (provider)
- Main image

- Experimental details
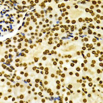
- Immunohistochemistry of paraffin-embedded Rat kidney using H3K27me2 antibody at dilution of 1:100 (x400 lens).
- Validation comment
- IHC
- Submitted by
- OriGene (provider)
- Main image

- Experimental details
- Immunohistochemistry of paraffin-embedded Rat brain using H3K27me2 antibody at dilution of 1:100 (x400 lens).
- Validation comment
- IHC
- Submitted by
- OriGene (provider)
- Main image

- Experimental details
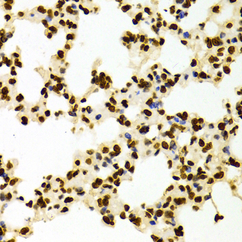
- Immunohistochemistry of paraffin-embedded Mouse lung using H3K27me2 antibody at dilution of 1:100 (x400 lens).
- Validation comment
- IHC
- Submitted by
- OriGene (provider)
- Main image

- Experimental details
- Immunohistochemistry of paraffin-embedded Mouse kidney using H3K27me2 antibody at dilution of 1:100 (x400 lens).
- Validation comment
- IHC
- Submitted by
- OriGene (provider)
- Main image

- Experimental details
- Immunohistochemistry of paraffin-embedded Mouse heart using H3K27me2 antibody at dilution of 1:100 (x400 lens).
- Validation comment
- IHC
- Submitted by
- OriGene (provider)
- Main image

- Experimental details
- Immunohistochemistry of paraffin-embedded human lung cancer tissue using H3K27me2 antibody at dilution of 1:200 (x400 lens).
- Validation comment
- IHC
- Submitted by
- OriGene (provider)
- Main image

- Experimental details
- Immunohistochemistry of paraffin-embedded human liver cancer tissue using H3K27me2 antibody at dilution of 1:200 (x400 lens).
- Validation comment
- IHC
- Submitted by
- OriGene (provider)
- Main image

- Experimental details
- Immunohistochemistry of paraffin-embedded human kidney tissue using H3K27me2 antibody at dilution of 1:200 (x400 lens).
- Validation comment
- IHC
Supportive validation
- Submitted by
- OriGene (provider)
- Main image

- Experimental details
- Dot-blot analysis of all sorts of methylation peptides using H3K27me2 antibody.
- Validation comment
- DB