Antibody data
- Antibody Data
- Antigen structure
- References [0]
- Comments [0]
- Validations
- Western blot [1]
- Immunoprecipitation [4]
- Immunohistochemistry [13]
Submit
Validation data
Reference
Comment
Report error
- Product number
- LS-C746811 - Provider product page

- Provider
- LSBio
- Product name
- HIST3H3 Antibody LS-C746811
- Antibody type
- Polyclonal
- Description
- Affinity purified
- Reactivity
- Human, Mouse, Rat
- Host
- Rabbit
- Isotype
- IgG
- Storage
- Store at -20°C. Avoid freeze-thaw cycles.
No comments: Submit comment
Enhanced validation
- Submitted by
- LSBio (provider)
- Enhanced method
- Genetic validation
- Main image

- Experimental details
- Western blot analysis of extracts of various cell lines, using HIST3H3 antibody at 1:1000 dilution. The secondary antibody used was an HRP Goat Anti-Rabbit IgG (H+L) at 1:10000 dilution. Lysates were loaded 25ug per lane and 3% nonfat dry milk in TBST was used for blocking. An ECL Kit was used for detection and the exposure time was 10s.
Supportive validation
- Submitted by
- LSBio (provider)
- Enhanced method
- Genetic validation
- Main image

- Experimental details
- Immunoprecipitation analysis of 150ug extracts of MCF7 cells using 3ug HIST3H3 antibody. Western blot was performed from the immunoprecipitate using HIST3H3 antibody at a dilition of 1:500.
- Submitted by
- LSBio (provider)
- Main image

- Experimental details
- Immunoprecipitation analysis of 150ug extracts of MCF7 cells using 3ug HIST3H3 antibody. Western blot was performed from the immunoprecipitate using HIST3H3 antibody at a dilition of 1:500.
- Submitted by
- LSBio (provider)
- Main image

- Experimental details
- Immunoprecipitation analysis of 150ug extracts of MCF7 cells using 3ug HIST3H3 antibody. Western blot was performed from the immunoprecipitate using HIST3H3 antibody at a dilition of 1:500.
- Submitted by
- LSBio (provider)
- Main image

- Experimental details
- Immunoprecipitation analysis of 150ug extracts of MCF7 cells using 3ug HIST3H3 antibody. Western blot was performed from the immunoprecipitate using HIST3H3 antibody at a dilition of 1:500.
Enhanced validation
- Submitted by
- LSBio (provider)
- Enhanced method
- Genetic validation
- Main image

- Experimental details
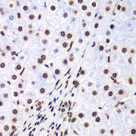
- Immunohistochemistry of paraffin-embedded human liver cancer using HIST3H3 antibody at dilution of 1:100 (40x lens).
- Submitted by
- LSBio (provider)
- Enhanced method
- Genetic validation
- Main image

- Experimental details
- Immunohistochemistry of paraffin-embedded mouse heart using HIST3H3 antibody at dilution of 1:100 (40x lens).
- Submitted by
- LSBio (provider)
- Enhanced method
- Genetic validation
- Main image

- Experimental details
- Immunohistochemistry of paraffin-embedded rat kidney using HIST3H3 antibody at dilution of 1:100 (40x lens).
- Submitted by
- LSBio (provider)
- Enhanced method
- Genetic validation
- Main image

- Experimental details
- Immunohistochemistry of paraffin-embedded human liver cancer using HIST3H3 antibody at dilution of 1:100 (40x lens).
- Submitted by
- LSBio (provider)
- Enhanced method
- Genetic validation
- Main image

- Experimental details
- Immunohistochemistry of paraffin-embedded human oophoroma using HIST3H3 antibody at dilution of 1:100 (40x lens).
- Submitted by
- LSBio (provider)
- Enhanced method
- Genetic validation
- Main image

- Experimental details
- Immunohistochemistry of paraffin-embedded human kidney cancer using HIST3H3 antibody at dilution of 1:100 (40x lens).
- Submitted by
- LSBio (provider)
- Enhanced method
- Genetic validation
- Main image

- Experimental details
- Immunohistochemistry of paraffin-embedded mouse kidney using HIST3H3 antibody at dilution of 1:100 (40x lens).
- Submitted by
- LSBio (provider)
- Main image

- Experimental details
- Immunohistochemistry of paraffin-embedded rat kidney using HIST3H3 antibody at dilution of 1:100 (40x lens).
- Submitted by
- LSBio (provider)
- Main image

- Experimental details
- Immunohistochemistry of paraffin-embedded human liver cancer using HIST3H3 antibody at dilution of 1:100 (40x lens).
- Submitted by
- LSBio (provider)
- Main image

- Experimental details
- Immunohistochemistry of paraffin-embedded human oophoroma using HIST3H3 antibody at dilution of 1:100 (40x lens).
- Submitted by
- LSBio (provider)
- Main image

- Experimental details
- Immunohistochemistry of paraffin-embedded human kidney cancer using HIST3H3 antibody at dilution of 1:100 (40x lens).
- Submitted by
- LSBio (provider)
- Main image

- Experimental details
- Immunohistochemistry of paraffin-embedded mouse kidney using HIST3H3 antibody at dilution of 1:100 (40x lens).
- Submitted by
- LSBio (provider)
- Main image

- Experimental details
- Immunohistochemistry of paraffin-embedded mouse heart using HIST3H3 antibody at dilution of 1:100 (40x lens).