Antibody data
- Antibody Data
- Antigen structure
- References [3]
- Comments [0]
- Validations
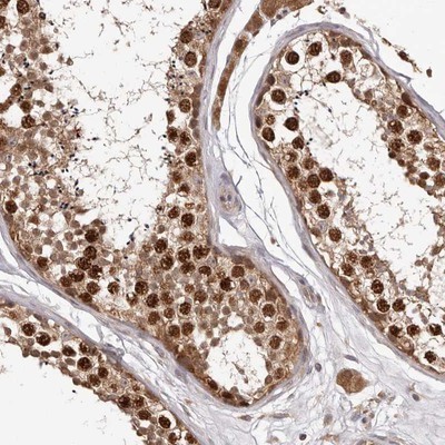
- Immunohistochemistry [1]
Submit
Validation data
Reference
Comment
Report error
- Product number
- NBP1-91025 - Provider product page

- Provider
- Novus Biologicals
- Proper citation
- Novus Cat#NBP1-91025, RRID:AB_11020642
- Product name
- Rabbit Polyclonal RNF187 Antibody
- Antibody type
- Polyclonal
- Description
- Immunogen affinity purified. Specificity of human RNF187 antibody verified on a Protein Array containing target protein plus 383 other non-specific proteins.
- Reactivity
- Human
- Host
- Rabbit
- Isotype
- IgG
- Vial size
- 0.1 ml
- Storage
- Store at 4C short term. Aliquot and store at -20C long term. Avoid freeze-thaw cycles.
Submitted references High level of RNF187 contributes to the progression and drug resistance of osteosarcoma.
RING finger protein 187 as a novel potential biomarker for predicting the prognosis of ovarian carcinoma in 2 cancer centers.
The E3 ubiquitin ligase Trim7 mediates c-Jun/AP-1 activation by Ras signalling.
Wan WB, Wu K, Peng K, Qiu ZQ, Duan ZB, Chen X, Xu ZM, Cheng K, Zhao JM, Shi QM
Journal of Cancer 2020;11(6):1351-1358
Journal of Cancer 2020;11(6):1351-1358
RING finger protein 187 as a novel potential biomarker for predicting the prognosis of ovarian carcinoma in 2 cancer centers.
Chen J, Chen K, Zhou Z, Huang L, Cai Y, Tu H, Zhang X
Current problems in cancer 2020 Jan 28;:100555
Current problems in cancer 2020 Jan 28;:100555
The E3 ubiquitin ligase Trim7 mediates c-Jun/AP-1 activation by Ras signalling.
Chakraborty A, Diefenbacher ME, Mylona A, Kassel O, Behrens A
Nature communications 2015 Apr 8;6:6782
Nature communications 2015 Apr 8;6:6782
No comments: Submit comment
Supportive validation
- Submitted by
- Novus Biologicals (provider)
- Main image

- Experimental details
- Immunohistochemistry-Paraffin: RNF187 Antibody [NBP1-91025] - Staining of human testis shows strong nuclear and cytoplasmic positivity in cells of seminiferus ducts.