NBP2-24737
antibody from Novus Biologicals
Targeting: TP73
P73
Antibody data
- Antibody Data
- Antigen structure
- References [54]
- Comments [0]
- Validations
- Western blot [2]
- Immunohistochemistry [1]
- Flow cytometry [2]
Submit
Validation data
Reference
Comment
Report error
- Product number
- NBP2-24737 - Provider product page

- Provider
- Novus Biologicals
- Product name
- Mouse Monoclonal p73 Antibody
- Antibody type
- Monoclonal
- Description
- Protein G purified. p73 antibody (clone 5B429) recognizes all of the TAp73 isoforms i.e. isoforms with an intact NH2-terminal transactivation domain (Thottassery et el, 2006, PMID 16505115). Sayan et al 2005 (PMID 15781249) showed that p73 IMG-246/ NBP2-24737 reacted with all tested TAp73 isoforms but not deltaNp73 whereas p73 antibody clone 5B1288 (NB100-56674/ IMG-259A ) showed reactivity against all p73 isoforms including delta Np73. Caspase-cleaved p73 fragments, including 55 kDa and 45 kDa, have been described in literature (Sayan et al, 2008). p73 antibody clone 5B429 has also been referred to as 429 in the literature.
- Reactivity
- Human, Mouse, Rat
- Host
- Mouse
- Isotype
- IgG
- Vial size
- 0.1 mg
- Concentration
- 1.0 mg/ml
- Storage
- Store at 4C short term. Aliquot and store at -20C long term. Avoid freeze-thaw cycles.
Submitted references p53-Related Transcription Targets of TAp73 in Cancer Cells-Bona Fide or Distorted Reality?
Role of apurinic/apyrimidinic nucleases in the regulation of homologous recombination in myeloma: mechanisms and translational significance.
Melanoma cells resistant towards MAPK inhibitors exhibit reduced TAp73 expression mediating enhanced sensitivity to platinum-based drugs.
Inhibition of DNA‑PK activity sensitizes A549 cells to X‑ray irradiation by inducing the ATM‑dependent DNA damage response.
RASSF1A uncouples Wnt from Hippo signalling and promotes YAP mediated differentiation via p73.
Role of p63 and p73 isoforms on the cell death in patients with hepatocellular carcinoma submitted to orthotopic liver transplantation.
Dependence of p53-deficient cells on the DHX9 DExH-box helicase.
Small-Molecule Prodigiosin Restores p53 Tumor Suppressor Activity in Chemoresistant Colorectal Cancer Stem Cells via c-Jun-Mediated ΔNp73 Inhibition and p73 Activation.
Local mitochondrial-endolysosomal microfusion cleaves voltage-dependent anion channel 1 to promote survival in hypoxia.
Activation of Notch3 in Glomeruli Promotes the Development of Rapidly Progressive Renal Disease.
IAPP-driven metabolic reprogramming induces regression of p53-deficient tumours in vivo.
CK2 phosphorylates and inhibits TAp73 tumor suppressor function to promote expression of cancer stem cell genes and phenotype in head and neck cancer.
Targeting TopBP1 at a convergent point of multiple oncogenic pathways for cancer therapy.
The Cul4A-DDB1 E3 ubiquitin ligase complex represses p73 transcriptional activity.
Differential effects of diverse p53 isoforms on TAp73 transcriptional activity and apoptosis.
Depletion of the receptor for advanced glycation end products (RAGE) sensitizes towards apoptosis via p53 and p73 posttranslational regulation.
Recruitment of the tumour suppressor protein p73 by Kaposi's Sarcoma Herpesvirus latent nuclear antigen contributes to the survival of primary effusion lymphoma cells.
Correlation between low-level expression of the tumor suppressor gene TAp73 and the chemoresistance of human glioma stem cells.
Angioprotectin: an angiotensin II-like peptide causing vasodilatory effects.
TAp73 induction by nitric oxide: regulation by checkpoint kinase 1 (CHK1) and protection against apoptosis.
Oxidative stress activates the c-Abl/p73 proapoptotic pathway in Niemann-Pick type C neurons.
Doubling the dose.
ROS-mediated upregulation of Noxa overcomes chemoresistance in chronic lymphocytic leukemia.
microRNA-34a regulates neurite outgrowth, spinal morphology, and function.
Association of a p73 exon 2 GC/AT polymorphism with colorectal cancer risk and survival in Tunisian patients.
A phase I study of immune gene therapy for patients with CLL using a membrane-stable, humanized CD154.
Molecular characterization of c-Abl/c-Src kinase inhibitors targeted against murine tumour progenitor cells that express stem cell markers.
ΔNp63 transcriptionally regulates brachyury, a gene with diverse roles in limb development, tumorigenesis and metastasis.
1,25D3 enhances antitumor activity of gemcitabine and cisplatin in human bladder cancer models.
Evaluation of p63 and p73 antibodies for cross-reactivity.
Regulation of p53 by TopBP1: a potential mechanism for p53 inactivation in cancer.
TAp73 regulates the spindle assembly checkpoint by modulating BubR1 activity.
p73 plays a role in erythroid differentiation through GATA1 induction.
Forodesine has high antitumor activity in chronic lymphocytic leukemia and activates p53-independent mitochondrial apoptosis by induction of p73 and BIM.
Specific activation of microRNA106b enables the p73 apoptotic response in chronic lymphocytic leukemia by targeting the ubiquitin ligase Itch for degradation.
1alpha,25-Dihydroxyvitamin D3 potentiates cisplatin antitumor activity by p73 induction in a squamous cell carcinoma model.
STI571 prevents apoptosis, tau phosphorylation and behavioural impairments induced by Alzheimer's beta-amyloid deposits.
Apoptotic function of human PMS2 compromised by the nonsynonymous single-nucleotide polymorphic variant R20Q.
Targeting MEK/MAPK signal transduction module potentiates ATO-induced apoptosis in multiple myeloma cells through multiple signaling pathways.
A gene signature-based approach identifies mTOR as a regulator of p73.
Imatinib therapy blocks cerebellar apoptosis and improves neurological symptoms in a mouse model of Niemann-Pick type C disease.
DNA mismatch repair-dependent activation of c-Abl/p73alpha/GADD45alpha-mediated apoptosis.
Acetylcholinesterase-R increases germ cell apoptosis but enhances sperm motility.
Ser46 phosphorylation of p53 is not always sufficient to induce apoptosis: multiple mechanisms of regulation of p53-dependent apoptosis.
p73 and p53 pathway in human breast cancers.
c-Abl-independent p73 stabilization during gemcitabine- or 4'-thio-beta-D-arabinofuranosylcytosine-induced apoptosis in wild-type and p53-null colorectal cancer cells.
DeltaTAp73 upregulation correlates with poor prognosis in human tumors: putative in vivo network involving p73 isoforms, p53, and E2F-1.
MDM2 is required for suppression of apoptosis by activated Akt1 in salivary acinar cells.
Family members p53 and p73 act together in chromatin modification and direct repression of alpha-fetoprotein transcription.
New antibodies recognizing p73: comparison with commercial antibodies.
Ubiquitin-dependent degradation of p73 is inhibited by PML.
p73 tumor-suppressor activity is impaired in human thyroid cancer.
Interaction of mismatch repair protein PMS2 and the p53-related transcription factor p73 in apoptosis response to cisplatin.
Exclusion of c-Abl from the nucleus restrains the p73 tumor suppression function.
Wang C, Teo CR, Sabapathy K
International journal of molecular sciences 2020 Feb 17;21(4)
International journal of molecular sciences 2020 Feb 17;21(4)
Role of apurinic/apyrimidinic nucleases in the regulation of homologous recombination in myeloma: mechanisms and translational significance.
Kumar S, Talluri S, Pal J, Yuan X, Lu R, Nanjappa P, Samur MK, Munshi NC, Shammas MA
Blood cancer journal 2018 Sep 25;8(10):92
Blood cancer journal 2018 Sep 25;8(10):92
Melanoma cells resistant towards MAPK inhibitors exhibit reduced TAp73 expression mediating enhanced sensitivity to platinum-based drugs.
Makino E, Gutmann V, Kosnopfel C, Niessner H, Forschner A, Garbe C, Sinnberg T, Schittek B
Cell death & disease 2018 Sep 11;9(9):930
Cell death & disease 2018 Sep 11;9(9):930
Inhibition of DNA‑PK activity sensitizes A549 cells to X‑ray irradiation by inducing the ATM‑dependent DNA damage response.
Yang L, Yang X, Tang Y, Zhang D, Zhu L, Wang S, Wang B, Ma T
Molecular medicine reports 2018 Jun;17(6):7545-7552
Molecular medicine reports 2018 Jun;17(6):7545-7552
RASSF1A uncouples Wnt from Hippo signalling and promotes YAP mediated differentiation via p73.
Papaspyropoulos A, Bradley L, Thapa A, Leung CY, Toskas K, Koennig D, Pefani DE, Raso C, Grou C, Hamilton G, Vlahov N, Grawenda A, Haider S, Chauhan J, Buti L, Kanapin A, Lu X, Buffa F, Dianov G, von Kriegsheim A, Matallanas D, Samsonova A, Zernicka-Goetz M, O'Neill E
Nature communications 2018 Jan 30;9(1):424
Nature communications 2018 Jan 30;9(1):424
Role of p63 and p73 isoforms on the cell death in patients with hepatocellular carcinoma submitted to orthotopic liver transplantation.
González R, De la Rosa ÁJ, Rufini A, Rodríguez-Hernández MA, Navarro-Villarán E, Marchal T, Pereira S, De la Mata M, Müller-Schilling M, Pascasio-Acevedo JM, Ferrer-Ríos MT, Gómez-Bravo MA, Padillo FJ, Muntané J
PloS one 2017;12(3):e0174326
PloS one 2017;12(3):e0174326
Dependence of p53-deficient cells on the DHX9 DExH-box helicase.
Lee T, Pelletier J
Oncotarget 2017 May 9;8(19):30908-30921
Oncotarget 2017 May 9;8(19):30908-30921
Small-Molecule Prodigiosin Restores p53 Tumor Suppressor Activity in Chemoresistant Colorectal Cancer Stem Cells via c-Jun-Mediated ΔNp73 Inhibition and p73 Activation.
Prabhu VV, Hong B, Allen JE, Zhang S, Lulla AR, Dicker DT, El-Deiry WS
Cancer research 2016 Apr 1;76(7):1989-99
Cancer research 2016 Apr 1;76(7):1989-99
Local mitochondrial-endolysosomal microfusion cleaves voltage-dependent anion channel 1 to promote survival in hypoxia.
Brahimi-Horn MC, Lacas-Gervais S, Adaixo R, Ilc K, Rouleau M, Notte A, Dieu M, Michiels C, Voeltzel T, Maguer-Satta V, Pelletier J, Ilie M, Hofman P, Manoury B, Schmidt A, Hiller S, Pouysségur J, Mazure NM
Molecular and cellular biology 2015 May;35(9):1491-505
Molecular and cellular biology 2015 May;35(9):1491-505
Activation of Notch3 in Glomeruli Promotes the Development of Rapidly Progressive Renal Disease.
El Machhour F, Keuylian Z, Kavvadas P, Dussaule JC, Chatziantoniou C
Journal of the American Society of Nephrology : JASN 2015 Jul;26(7):1561-75
Journal of the American Society of Nephrology : JASN 2015 Jul;26(7):1561-75
IAPP-driven metabolic reprogramming induces regression of p53-deficient tumours in vivo.
Venkatanarayan A, Raulji P, Norton W, Chakravarti D, Coarfa C, Su X, Sandur SK, Ramirez MS, Lee J, Kingsley CV, Sananikone EF, Rajapakshe K, Naff K, Parker-Thornburg J, Bankson JA, Tsai KY, Gunaratne PH, Flores ER
Nature 2015 Jan 29;517(7536):626-30
Nature 2015 Jan 29;517(7536):626-30
CK2 phosphorylates and inhibits TAp73 tumor suppressor function to promote expression of cancer stem cell genes and phenotype in head and neck cancer.
Lu H, Yan C, Quan XX, Yang X, Zhang J, Bian Y, Chen Z, Van Waes C
Neoplasia (New York, N.Y.) 2014 Oct;16(10):789-800
Neoplasia (New York, N.Y.) 2014 Oct;16(10):789-800
Targeting TopBP1 at a convergent point of multiple oncogenic pathways for cancer therapy.
Chowdhury P, Lin GE, Liu K, Song Y, Lin FT, Lin WC
Nature communications 2014 Nov 17;5:5476
Nature communications 2014 Nov 17;5:5476
The Cul4A-DDB1 E3 ubiquitin ligase complex represses p73 transcriptional activity.
Malatesta M, Peschiaroli A, Memmi EM, Zhang J, Antonov A, Green DR, Barlev NA, Garabadgiu AV, Zhou P, Melino G, Bernassola F
Oncogene 2013 Sep 26;32(39):4721-6
Oncogene 2013 Sep 26;32(39):4721-6
Differential effects of diverse p53 isoforms on TAp73 transcriptional activity and apoptosis.
Zorić A, Horvat A, Slade N
Carcinogenesis 2013 Mar;34(3):522-9
Carcinogenesis 2013 Mar;34(3):522-9
Depletion of the receptor for advanced glycation end products (RAGE) sensitizes towards apoptosis via p53 and p73 posttranslational regulation.
Brune M, Müller M, Melino G, Bierhaus A, Schilling T, Nawroth PP
Oncogene 2013 Mar 14;32(11):1460-8
Oncogene 2013 Mar 14;32(11):1460-8
Recruitment of the tumour suppressor protein p73 by Kaposi's Sarcoma Herpesvirus latent nuclear antigen contributes to the survival of primary effusion lymphoma cells.
Santag S, Jäger W, Karsten CB, Kati S, Pietrek M, Steinemann D, Sarek G, Ojala PM, Schulz TF
Oncogene 2013 Aug 8;32(32):3676-85
Oncogene 2013 Aug 8;32(32):3676-85
Correlation between low-level expression of the tumor suppressor gene TAp73 and the chemoresistance of human glioma stem cells.
Hu X, Wu N, Xia P, Yu S, Sun F, Chen J
Cancer chemotherapy and pharmacology 2012 May;69(5):1205-12
Cancer chemotherapy and pharmacology 2012 May;69(5):1205-12
Angioprotectin: an angiotensin II-like peptide causing vasodilatory effects.
Jankowski V, Tölle M, Santos RA, Günthner T, Krause E, Beyermann M, Welker P, Bader M, Pinheiro SV, Sampaio WO, Lautner R, Kretschmer A, van der Giet M, Zidek W, Jankowski J
FASEB journal : official publication of the Federation of American Societies for Experimental Biology 2011 Sep;25(9):2987-95
FASEB journal : official publication of the Federation of American Societies for Experimental Biology 2011 Sep;25(9):2987-95
TAp73 induction by nitric oxide: regulation by checkpoint kinase 1 (CHK1) and protection against apoptosis.
Tebbi A, Guittet O, Cottet MH, Vesin MF, Lepoivre M
The Journal of biological chemistry 2011 Mar 11;286(10):7873-84
The Journal of biological chemistry 2011 Mar 11;286(10):7873-84
Oxidative stress activates the c-Abl/p73 proapoptotic pathway in Niemann-Pick type C neurons.
Klein A, Maldonado C, Vargas LM, Gonzalez M, Robledo F, Perez de Arce K, Muñoz FJ, Hetz C, Alvarez AR, Zanlungo S
Neurobiology of disease 2011 Jan;41(1):209-18
Neurobiology of disease 2011 Jan;41(1):209-18
Doubling the dose.
Mair W
PLoS biology 2011 Feb 8;9(2):e1001017
PLoS biology 2011 Feb 8;9(2):e1001017
ROS-mediated upregulation of Noxa overcomes chemoresistance in chronic lymphocytic leukemia.
Tonino SH, van Laar J, van Oers MH, Wang JY, Eldering E, Kater AP
Oncogene 2011 Feb 10;30(6):701-13
Oncogene 2011 Feb 10;30(6):701-13
microRNA-34a regulates neurite outgrowth, spinal morphology, and function.
Agostini M, Tucci P, Steinert JR, Shalom-Feuerstein R, Rouleau M, Aberdam D, Forsythe ID, Young KW, Ventura A, Concepcion CP, Han YC, Candi E, Knight RA, Mak TW, Melino G
Proceedings of the National Academy of Sciences of the United States of America 2011 Dec 27;108(52):21099-104
Proceedings of the National Academy of Sciences of the United States of America 2011 Dec 27;108(52):21099-104
Association of a p73 exon 2 GC/AT polymorphism with colorectal cancer risk and survival in Tunisian patients.
Arfaoui AT, Kriaa LB, El Hadj Oel A, Ben Hmida MA, Khiari M, Khalfallah T, Gharbi L, Mzabi S, Bouraoui S
Virchows Archiv : an international journal of pathology 2010 Sep;457(3):359-68
Virchows Archiv : an international journal of pathology 2010 Sep;457(3):359-68
A phase I study of immune gene therapy for patients with CLL using a membrane-stable, humanized CD154.
Wierda WG, Castro JE, Aguillon R, Sampath D, Jalayer A, McMannis J, Prussak CE, Keating M, Kipps TJ
Leukemia 2010 Nov;24(11):1893-900
Leukemia 2010 Nov;24(11):1893-900
Molecular characterization of c-Abl/c-Src kinase inhibitors targeted against murine tumour progenitor cells that express stem cell markers.
Kruewel T, Schenone S, Radi M, Maga G, Rohrbeck A, Botta M, Borlak J
PloS one 2010 Nov 30;5(11):e14143
PloS one 2010 Nov 30;5(11):e14143
ΔNp63 transcriptionally regulates brachyury, a gene with diverse roles in limb development, tumorigenesis and metastasis.
Cho MS, Chan IL, Flores ER
Cell cycle (Georgetown, Tex.) 2010 Jun 15;9(12):2434-41
Cell cycle (Georgetown, Tex.) 2010 Jun 15;9(12):2434-41
1,25D3 enhances antitumor activity of gemcitabine and cisplatin in human bladder cancer models.
Ma Y, Yu WD, Trump DL, Johnson CS
Cancer 2010 Jul 1;116(13):3294-303
Cancer 2010 Jul 1;116(13):3294-303
Evaluation of p63 and p73 antibodies for cross-reactivity.
Rosenbluth JM, Johnson K, Tang L, Triplett T, Pietenpol JA
Cell cycle (Georgetown, Tex.) 2009 Nov 15;8(22):3702-6
Cell cycle (Georgetown, Tex.) 2009 Nov 15;8(22):3702-6
Regulation of p53 by TopBP1: a potential mechanism for p53 inactivation in cancer.
Liu K, Bellam N, Lin HY, Wang B, Stockard CR, Grizzle WE, Lin WC
Molecular and cellular biology 2009 May;29(10):2673-93
Molecular and cellular biology 2009 May;29(10):2673-93
TAp73 regulates the spindle assembly checkpoint by modulating BubR1 activity.
Tomasini R, Tsuchihara K, Tsuda C, Lau SK, Wilhelm M, Rufini A, Tsao MS, Iovanna JL, Jurisicova A, Melino G, Mak TW
Proceedings of the National Academy of Sciences of the United States of America 2009 Jan 20;106(3):797-802
Proceedings of the National Academy of Sciences of the United States of America 2009 Jan 20;106(3):797-802
p73 plays a role in erythroid differentiation through GATA1 induction.
Marqués-García F, Ferrandiz N, Fernández-Alonso R, González-Cano L, Herreros-Villanueva M, Rosa-Garrido M, Fernández-García B, Vaque JP, Marqués MM, Alonso ME, Segovia JC, León J, Marín MC
The Journal of biological chemistry 2009 Aug 7;284(32):21139-56
The Journal of biological chemistry 2009 Aug 7;284(32):21139-56
Forodesine has high antitumor activity in chronic lymphocytic leukemia and activates p53-independent mitochondrial apoptosis by induction of p73 and BIM.
Alonso R, López-Guerra M, Upshaw R, Bantia S, Smal C, Bontemps F, Manz C, Mehrling T, Villamor N, Campo E, Montserrat E, Colomer D
Blood 2009 Aug 20;114(8):1563-75
Blood 2009 Aug 20;114(8):1563-75
Specific activation of microRNA106b enables the p73 apoptotic response in chronic lymphocytic leukemia by targeting the ubiquitin ligase Itch for degradation.
Sampath D, Calin GA, Puduvalli VK, Gopisetty G, Taccioli C, Liu CG, Ewald B, Liu C, Keating MJ, Plunkett W
Blood 2009 Apr 16;113(16):3744-53
Blood 2009 Apr 16;113(16):3744-53
1alpha,25-Dihydroxyvitamin D3 potentiates cisplatin antitumor activity by p73 induction in a squamous cell carcinoma model.
Ma Y, Yu WD, Hershberger PA, Flynn G, Kong RX, Trump DL, Johnson CS
Molecular cancer therapeutics 2008 Sep;7(9):3047-55
Molecular cancer therapeutics 2008 Sep;7(9):3047-55
STI571 prevents apoptosis, tau phosphorylation and behavioural impairments induced by Alzheimer's beta-amyloid deposits.
Cancino GI, Toledo EM, Leal NR, Hernandez DE, Yévenes LF, Inestrosa NC, Alvarez AR
Brain : a journal of neurology 2008 Sep;131(Pt 9):2425-42
Brain : a journal of neurology 2008 Sep;131(Pt 9):2425-42
Apoptotic function of human PMS2 compromised by the nonsynonymous single-nucleotide polymorphic variant R20Q.
Marinovic-Terzic I, Yoshioka-Yamashita A, Shimodaira H, Avdievich E, Hunton IC, Kolodner RD, Edelmann W, Wang JY
Proceedings of the National Academy of Sciences of the United States of America 2008 Sep 16;105(37):13993-8
Proceedings of the National Academy of Sciences of the United States of America 2008 Sep 16;105(37):13993-8
Targeting MEK/MAPK signal transduction module potentiates ATO-induced apoptosis in multiple myeloma cells through multiple signaling pathways.
Lunghi P, Giuliani N, Mazzera L, Lombardi G, Ricca M, Corradi A, Cantoni AM, Salvatore L, Riccioni R, Costanzo A, Testa U, Levrero M, Rizzoli V, Bonati A
Blood 2008 Sep 15;112(6):2450-62
Blood 2008 Sep 15;112(6):2450-62
A gene signature-based approach identifies mTOR as a regulator of p73.
Rosenbluth JM, Mays DJ, Pino MF, Tang LJ, Pietenpol JA
Molecular and cellular biology 2008 Oct;28(19):5951-64
Molecular and cellular biology 2008 Oct;28(19):5951-64
Imatinib therapy blocks cerebellar apoptosis and improves neurological symptoms in a mouse model of Niemann-Pick type C disease.
Alvarez AR, Klein A, Castro J, Cancino GI, Amigo J, Mosqueira M, Vargas LM, Yévenes LF, Bronfman FC, Zanlungo S
FASEB journal : official publication of the Federation of American Societies for Experimental Biology 2008 Oct;22(10):3617-27
FASEB journal : official publication of the Federation of American Societies for Experimental Biology 2008 Oct;22(10):3617-27
DNA mismatch repair-dependent activation of c-Abl/p73alpha/GADD45alpha-mediated apoptosis.
Li LS, Morales JC, Hwang A, Wagner MW, Boothman DA
The Journal of biological chemistry 2008 Aug 1;283(31):21394-403
The Journal of biological chemistry 2008 Aug 1;283(31):21394-403
Acetylcholinesterase-R increases germ cell apoptosis but enhances sperm motility.
Mor I, Sklan EH, Podoly E, Pick M, Kirschner M, Yogev L, Bar-Sheshet Itach S, Schreiber L, Geyer B, Mor T, Grisaru D, Soreq H
Journal of cellular and molecular medicine 2008 Apr;12(2):479-95
Journal of cellular and molecular medicine 2008 Apr;12(2):479-95
Ser46 phosphorylation of p53 is not always sufficient to induce apoptosis: multiple mechanisms of regulation of p53-dependent apoptosis.
Kurihara A, Nagoshi H, Yabuki M, Okuyama R, Obinata M, Ikawa S
Genes to cells : devoted to molecular & cellular mechanisms 2007 Jul;12(7):853-61
Genes to cells : devoted to molecular & cellular mechanisms 2007 Jul;12(7):853-61
p73 and p53 pathway in human breast cancers.
Bozzetti C, Nizzoli R, Musolino A, Martella EM, Crafa P, Lagrasta CA, Camisa R, Bonati A, Lunghi P, Ardizzoni A
Journal of clinical oncology : official journal of the American Society of Clinical Oncology 2007 Apr 10;25(11):1451-3; author reply 1453-4
Journal of clinical oncology : official journal of the American Society of Clinical Oncology 2007 Apr 10;25(11):1451-3; author reply 1453-4
c-Abl-independent p73 stabilization during gemcitabine- or 4'-thio-beta-D-arabinofuranosylcytosine-induced apoptosis in wild-type and p53-null colorectal cancer cells.
Thottassery JV, Westbrook L, Someya H, Parker WB
Molecular cancer therapeutics 2006 Feb;5(2):400-10
Molecular cancer therapeutics 2006 Feb;5(2):400-10
DeltaTAp73 upregulation correlates with poor prognosis in human tumors: putative in vivo network involving p73 isoforms, p53, and E2F-1.
Domínguez G, García JM, Peña C, Silva J, García V, Martínez L, Maximiano C, Gómez ME, Rivera JA, García-Andrade C, Bonilla F
Journal of clinical oncology : official journal of the American Society of Clinical Oncology 2006 Feb 10;24(5):805-15
Journal of clinical oncology : official journal of the American Society of Clinical Oncology 2006 Feb 10;24(5):805-15
MDM2 is required for suppression of apoptosis by activated Akt1 in salivary acinar cells.
Limesand KH, Schwertfeger KL, Anderson SM
Molecular and cellular biology 2006 Dec;26(23):8840-56
Molecular and cellular biology 2006 Dec;26(23):8840-56
Family members p53 and p73 act together in chromatin modification and direct repression of alpha-fetoprotein transcription.
Cui R, Nguyen TT, Taube JH, Stratton SA, Feuerman MH, Barton MC
The Journal of biological chemistry 2005 Nov 25;280(47):39152-60
The Journal of biological chemistry 2005 Nov 25;280(47):39152-60
New antibodies recognizing p73: comparison with commercial antibodies.
Sayan AE, Paradisi A, Vojtesek B, Knight RA, Melino G, Candi E
Biochemical and biophysical research communications 2005 Apr 29;330(1):186-93
Biochemical and biophysical research communications 2005 Apr 29;330(1):186-93
Ubiquitin-dependent degradation of p73 is inhibited by PML.
Bernassola F, Salomoni P, Oberst A, Di Como CJ, Pagano M, Melino G, Pandolfi PP
The Journal of experimental medicine 2004 Jun 7;199(11):1545-57
The Journal of experimental medicine 2004 Jun 7;199(11):1545-57
p73 tumor-suppressor activity is impaired in human thyroid cancer.
Frasca F, Vella V, Aloisi A, Mandarino A, Mazzon E, Vigneri R, Vigneri P
Cancer research 2003 Sep 15;63(18):5829-37
Cancer research 2003 Sep 15;63(18):5829-37
Interaction of mismatch repair protein PMS2 and the p53-related transcription factor p73 in apoptosis response to cisplatin.
Shimodaira H, Yoshioka-Yamashita A, Kolodner RD, Wang JY
Proceedings of the National Academy of Sciences of the United States of America 2003 Mar 4;100(5):2420-5
Proceedings of the National Academy of Sciences of the United States of America 2003 Mar 4;100(5):2420-5
Exclusion of c-Abl from the nucleus restrains the p73 tumor suppression function.
Vella V, Zhu J, Frasca F, Li CY, Vigneri P, Vigneri R, Wang JY
The Journal of biological chemistry 2003 Jul 4;278(27):25151-7
The Journal of biological chemistry 2003 Jul 4;278(27):25151-7
No comments: Submit comment
Supportive validation
- Submitted by
- Novus Biologicals (provider)
- Main image

- Experimental details
- Western Blot: p73 Antibody (5B429) [NBP2-24737] - Analysis of p73 in A) transfected cell lysate and B) HeLa cell lysate at 2 ug/ml.
- Submitted by
- Novus Biologicals (provider)
- Main image

- Experimental details
- Simple Western: p73 Antibody (5B429) [NBP2-24737] - Lane view shows a specific band for p73 in 1.0 mg/ml of HeLa lysate. This experiment was performed under reducing conditions using the 12-230kDa separation system. * Non-specific interaction with the 230 kDa Simple Western standard may be seen with this antibody.
Supportive validation
- Submitted by
- Novus Biologicals (provider)
- Main image

- Experimental details
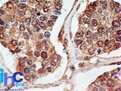
- Immunohistochemistry-Paraffin: p73 Antibody (5B429) [NBP2-24737] - FFPE breast cancer probed with p73 antibody at 5 ug/ml. Human tissue was used for this test. Staining of tissues is enhanced by boiling tissue sections in 10 mM sodium citrate buffer, pH 6.0 for 10-20 min followed by cooling at RT for 20 min.
Supportive validation
- Submitted by
- Novus Biologicals (provider)
- Main image

- Experimental details
- Flow Cytometry: p73 Antibody (5B429) [NBP2-24737] - Detection of p73 in Human HeLa Cell Line. Human HeLa cell line was stained with Mouse Anti- p73 Monoclonal Antibody (Catalog # NBP2-24737, filled histogram), or Mouse IgG1 isotype control (Catalog # MAB002, open histogram) followed by APC-conjugated Anti-Mouse IgG Secondary Antibody (Catalog # F0101B). To facilitate intracellular staining, cells were fixed with Flow Cytometry Fixation Buffer (Catalog # FC004) and permeabilized with Flow Cytometry Permeabilization/Wash Buffer I (Catalog # FC005). Images may not be copied, printed or otherwise disseminated without express written permission of Novus Biologicals a bio-techne brand.
- Submitted by
- Novus Biologicals (provider)
- Main image

- Experimental details
- Flow (Intracellular): p73 Antibody (5B429) [NBP2-24737] - An intracellular stain was performed on HeLa cells with pan p73 (5B429) antibody NBP2-24737 (blue) and a matched isotype control NBP2-27287 (orange). Cells were fixed with 4% PFA and then permeablized with 0.1% saponin. Cells were incubated in an antibody dilution of 1 ug/mL for 30 minutes, followed by mouse F(ab)2 IgG (H+L) APC-conjugated secondary antibody (F0101B, R&D Systems).