Antibody data
- Antibody Data
- Antigen structure
- References [0]
- Comments [0]
- Validations
- Western blot [1]
- Immunohistochemistry [1]
Submit
Validation data
Reference
Comment
Report error
- Product number
- ABIN2705370 - Provider product page

- Provider
- antibodies-online
- Product name
- anti-ATP-Binding Cassette, Sub-Family B (MDR/TAP), Member 10 (ABCB10) (Center) antibody
- Antibody type
- Polyclonal
- Description
- The antibody was purified by immunogen affinity chromatography.
- Reactivity
- Human, Mouse, Rat
- Host
- Rabbit
- Epitope
- Center
- Vial size
- 200 μL
- Storage
- Shipped at 4°C. Upon delivery aliquot and store at -20°C for one year. Avoid freeze/thaw cycles.
No comments: Submit comment
Supportive validation
- Submitted by
- antibodies-online (provider)
- Main image

- Experimental details
- WB
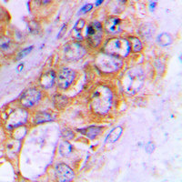
Supportive validation
- Submitted by
- antibodies-online (provider)
- Main image

- Experimental details
- IHC