Antibody data
- Antibody Data
- Antigen structure
- References [0]
- Comments [0]
- Validations
- Immunohistochemistry [1]
Submit
Validation data
Reference
Comment
Report error
- Product number
- PAB22523 - Provider product page

- Provider
- Abnova Corporation
- Proper citation
- Abnova Corporation Cat#PAB22523, RRID:AB_10984401
- Product name
- C1orf100 polyclonal antibody
- Antibody type
- Polyclonal
- Antigen
- Recombinant protein corresponding to amino acids of human C1orf100.
- Reactivity
- Human
- Host
- Rabbit
- Antigen sequence
MTAIRLREFIERRPVIPPSIFIAHQGRDVQGYYPG
QLARLHFDHSAKRAPRPLIDLTIPPKTKYHYQPQL
DQ- Isotype
- IgG
- Vial size
- 100 μl
- Storage
- Store at 4°C. For long term storage store at -20°C.Aliquot to avoid repeated freezing and thawing.
No comments: Submit comment
Supportive validation
- Submitted by
- Abnova Corporation (provider)
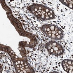
- Main image

- Experimental details
- Immunohistochemical staining of human colon with C1orf100 polyclonal antibody (Cat # PAB22523) shows strong cytoplasmic and membranous positivity in glandular cells at 1:50-1:200 dilution.
- Validation comment
- Immunohistochemistry (Formalin/PFA-fixed paraffin-embedded sections)