LS-C802728
antibody from LSBio
Targeting: DESI2
C1orf121, CGI-146, DESI-2, FAM152A, FLJ21998, PNAS-4, PPPDE1
Antibody data
- Antibody Data
- Antigen structure
- References [0]
- Comments [0]
- Validations
- Western blot [1]
- Immunohistochemistry [1]
Submit
Validation data
Reference
Comment
Report error
- Product number
- LS-C802728 - Provider product page

- Provider
- LSBio
- Product name
- DESI2 / PPPDE1 Antibody LS-C802728
- Antibody type
- Polyclonal
- Description
- Peptide affinity chromatography.
- Reactivity
- Human, Mouse, Rat
- Host
- Rabbit
- Isotype
- IgG
- Storage
- Upon receipt, store at -20°C. Avoid freeze-thaw cycles.
No comments: Submit comment
Enhanced validation
- Submitted by
- LSBio (provider)
- Enhanced method
- Genetic validation
- Main image

- Experimental details
- Western blot analysis of extracts of A549 cells using PPPDE1/PNAS4 antibody.
Supportive validation
- Submitted by
- LSBio (provider)
- Main image

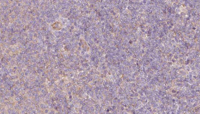
- Experimental details
- 1:100 staining human lymph carcinoma tissue by IHC-P. The sample was formaldehyde fixed and a heat mediated antigen retrieval step in citrate buffer was performed. The sample was then blocked and incubated with the antibody for 1.5 hours at 22°C. An HRP conjugated goat anti-rabbit antibody was used as the secondary.