Antibody data
- Antibody Data
- Antigen structure
- References [0]
- Comments [0]
- Validations
- Western blot [1]
- Immunohistochemistry [7]
- Other assay [1]
Submit
Validation data
Reference
Comment
Report error
- Product number
- TA300915 - Provider product page

- Provider
- OriGene
- Proper citation
- OriGene Cat#TA300915, RRID:AB_2285606
- Product name
- Rabbit Monoclonal Antibody against S100B (Clone EP1576Y)
- Antibody type
- Monoclonal
- Description
- Rabbit Monoclonal Antibody against S100B (Clone EP1576Y)
- Host
- Rabbit
- Conjugate
- Unconjugated
- Epitope
- S100B
- Isotype
- IgG
- Antibody clone number
- EP1576Y
- Vial size
- 100 µl
- Concentration
- NULL
No comments: Submit comment
Supportive validation
- Submitted by
- OriGene (provider)
- Main image

- Experimental details
- Western blot - S100 beta antibody [EP1576Y]; Anti-S100 beta antibody [EP1576Y] at 1/1000 dilution + A375 cell lysate at 10 ug.Secondary.Goat anti-Rabbit HRP labeled at 1/2000 dilution.Predicted band size : 11 kDa.Observed band size : 11 kDa.
- Validation comment
- WB
Supportive validation
- Submitted by
- OriGene (provider)
- Main image

- Experimental details
- Immunohistochemistry (Formalin/PFA-fixed paraffin-embedded sections) - Anti-S100 beta antibody [EP1576Y]; TA300915 showing positive staining in Clear cell carcinoma of kidney tissue.
- Validation comment
- IHC
- Submitted by
- OriGene (provider)
- Main image

- Experimental details
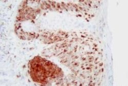
- Immunohistochemistry (Formalin/PFA-fixed paraffin-embedded sections) - Anti-S100 beta antibody [EP1576Y]; Immunohistochemical analysis of embryonic mouse brain tissue, staining S100 beta with TA300915.
- Validation comment
- IHC
- Submitted by
- OriGene (provider)
- Main image

- Experimental details
- TA300915 stainingS100 betainHuman spiral gangliontissue sections by IHC. Tissue was fixed with paraformaldehyde and blocked with 1%BSA for 30 minutes at RT; antigen retrieval was by heat mediation in citrate buffer, pH6.0. Samples were incubated with primary antibody (1/200 in PBS-T + 1% BSA) for 12 hours. An Alexa Fluor 488-conjugated Donkey anti-rabbit IgG polyclonal (1/500) was used as the secondary antibody.
- Validation comment
- IHC
- Submitted by
- OriGene (provider)
- Main image

- Experimental details
- Immunohistochemistry (Paraffin-embedded sections) - S100 beta antibody [EP1576Y]; Ab52642 (1/100) staining human S100 beta in human melanoma tissue by immunohistochemistry using paraffin embedded tissue.
- Validation comment
- IHC
- Submitted by
- OriGene (provider)
- Main image

- Experimental details
- Immunohistochemistry (Formalin/PFA-fixed paraffin-embedded sections) - S100 beta antibody [EP1576Y]; TA300915 at 1/500 staining human melanoma tissue sections by IHC-P. The tissue was formladehyde fixed and a heat mediated antigen retrieval step was performed, before being blocked and incubated with the antibody for 1 hour. An HRP conjugated goat anti-rabbit antibody was used as the secondary.
- Validation comment
- IHC
- Submitted by
- OriGene (provider)
- Main image

- Experimental details
- Immunohistochemistry (Formalin/PFA-fixed paraffin-embedded sections)-Anti-S100 beta antibody [EP1576Y](TA300915); TA300915 showing positive staining in Breast carcinoma tissue.
- Validation comment
- IHC
- Submitted by
- OriGene (provider)
- Main image

- Experimental details
- Immunohistochemistry (Formalin/PFA-fixed paraffin-embedded sections)-Anti-S100 beta antibody [EP1576Y](TA300915); TA300915 showing positive staining in Glioma tissue.
- Validation comment
- IHC
Supportive validation
- Submitted by
- OriGene (provider)
- Main image

- Experimental details
- Other-Anti-S100 beta antibody [EP1576Y](TA300915); Equilibrium disassociation constant (KD)..
- Validation comment
- Assay