Antibody data
- Antibody Data
- Antigen structure
- References [0]
- Comments [0]
- Validations
- Immunohistochemistry [1]
Submit
Validation data
Reference
Comment
Report error
- Product number
- SP4012P - Provider product page

- Provider
- Acris Antibodies GmbH
- Proper citation
- Acris Antibodies GmbH Cat#SP4012P, RRID:AB_973987
- Product name
- anti CDw199 / CCR9
- Antibody type
- Polyclonal
- Antigen
- Synthetic petide - KLH conjugated.Epitope: 2nd cytoplasmic domain of human.
- Reactivity
- Human, Simian
- Host
- Rabbit
- Vial size
- 50 µg
- Concentration
- 1 mg/ml
No comments: Submit comment
Supportive validation
- Submitted by
- Acris Antibodies GmbH (provider)
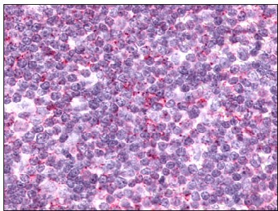
- Main image

- Experimental details
- Immunohistochemical staining of thymus lymphocytes using anti-CCR9 antibody SP4012P