Antibody data
- Antibody Data
- Antigen structure
- References [0]
- Comments [0]
- Validations
- Immunohistochemistry [5]
Submit
Validation data
Reference
Comment
Report error
- Product number
- NBP1-82769 - Provider product page 
- Provider
- Novus Biologicals
- Proper citation
- Novus Cat#NBP1-82769, RRID:AB_11010443
- Product name
- Rabbit Polyclonal COX19 Antibody
- Antibody type
- Polyclonal
- Description
- Immunogen affinity purified. Specificity of human COX19 antibody verified on a Protein Array containing target protein plus 383 other non-specific proteins.
- Reactivity
- Human
- Host
- Rabbit
- Isotype
- IgG
- Vial size
- 0.1 ml
- Storage
- Store at 4C short term. Aliquot and store at -20C long term. Avoid freeze-thaw cycles.
				No comments: Submit comment	
	
			
							
					Supportive validation
					
									
				
		- Submitted by
- Novus Biologicals (provider)
- Main image
 
- Experimental details
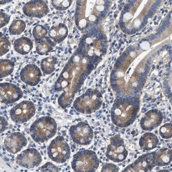
- Immunohistochemistry-Paraffin: COX19 Antibody [NBP1-82769] - Staining of human duodenum shows moderate cytoplasmic positivity in glandular cells.
- Submitted by
- Novus Biologicals (provider)
- Main image
 
- Experimental details
- Immunohistochemistry-Paraffin: COX19 Antibody [NBP1-82769] - Staining of human fallopian tube shows strong cytoplasmic positivity in glandular cells.
- Submitted by
- Novus Biologicals (provider)
- Main image
 
- Experimental details
- Immunohistochemistry-Paraffin: COX19 Antibody [NBP1-82769] - Staining in human fallopian tube and liver tissues.. Corresponding COX19 RNA-seq data are presented for the same tissues.
- Submitted by
- Novus Biologicals (provider)
- Main image
 
- Experimental details
- Immunohistochemistry-Paraffin: COX19 Antibody [NBP1-82769] - Staining of human liver shows no cytoplasmic positivity in hepatocytes as expected.
- Submitted by
- Novus Biologicals (provider)
- Main image
 
- Experimental details
- Immunohistochemistry-Paraffin: COX19 Antibody [NBP1-82769] - Staining of human testis shows strong cytoplasmic positivity in cells in seminiferous ducts.