Antibody data
- Antibody Data
- Antigen structure
- References [0]
- Comments [0]
- Validations
- Western blot [1]
- ELISA [3]
- Immunohistochemistry [2]
Submit
Validation data
Reference
Comment
Report error
- Product number
- LS-C104992 - Provider product page

- Provider
- LSBio
- Proper citation
- LifeSpan Cat#LS-C104992, RRID:AB_2144079
- Product name
- MIF Antibody (clone 2A10-4D3) LS-C104992
- Antibody type
- Monoclonal
- Description
- Purified from ascites by Protein A
- Reactivity
- Human
- Host
- Mouse
- Isotype
- IgG
- Antibody clone number
- 2A10-4D3
- Storage
- Store at -20°C or lower. Aliquot to avoid freeze-thaw cycles.
No comments: Submit comment
Enhanced validation
- Submitted by
- LSBio (provider)
- Enhanced method
- Genetic validation
- Main image

- Experimental details
- Western blot of MIF expression in transfected 293T cell line by MIF monoclonal antibody (M01), clone 2A10-4D3.
Supportive validation
- Submitted by
- LSBio (provider)
- Enhanced method
- Genetic validation
- Main image

- Experimental details
- Detection limit for recombinant GST tagged MIF is approximately 0.1 ng/ml as a capture antibody.
- Submitted by
- LSBio (provider)
- Main image

- Experimental details
- Detection limit for recombinant GST tagged MIF is approximately 0.1 ng/ml as a capture antibody.
- Submitted by
- LSBio (provider)
- Main image

- Experimental details
- Detection limit for recombinant GST tagged MIF is approximately 0.1 ng/ml as a capture antibody.
Enhanced validation
- Submitted by
- LSBio (provider)
- Enhanced method
- Genetic validation
- Main image

- Experimental details
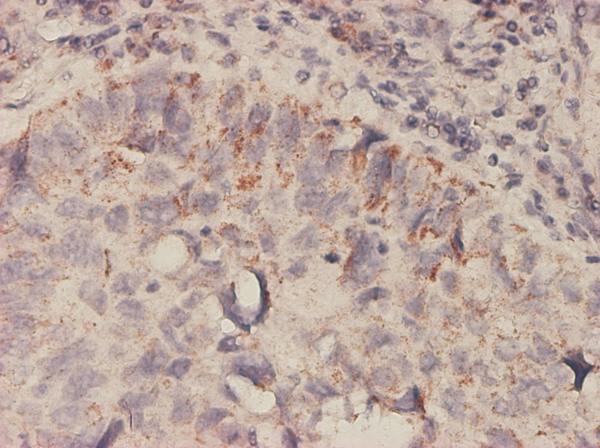
- Immunoperoxidase of monoclonal antibody to MIF on formalin-fixed paraffin-embedded human lung, adenosquamous cell carcinoma tissue.
- Submitted by
- LSBio (provider)
- Main image

- Experimental details
- Immunoperoxidase of monoclonal antibody to MIF on formalin-fixed paraffin-embedded human lung, adenosquamous cell carcinoma tissue.