Antibody data
- Antibody Data
- Antigen structure
- References [2]
- Comments [0]
- Validations
- Western blot [1]
- Immunohistochemistry [1]
Submit
Validation data
Reference
Comment
Report error
- Product number
- sc-20121 - Provider product page

- Provider
- Santa Cruz Biotechnology
- Proper citation
- Santa Cruz Biotechnology Cat#sc-20121, RRID:AB_648587
- Product name
- Anti-MIF
- Antibody type
- Polyclonal
- Antigen
- Recombinant full-length protein
- Reactivity
- Human
- Host
- Rabbit
Submitted references A role for NRAGE in NF-kappaB activation through the non-canonical BMP pathway.
Macrophage migration inhibitory factor is a direct target of HBP1-mediated transcriptional repression that is overexpressed in prostate cancer
Matluk N, Rochira JA, Karaczyn A, Adams T, Verdi JM
BMC biology 2010 Jan 25;8:7
BMC biology 2010 Jan 25;8:7
Macrophage migration inhibitory factor is a direct target of HBP1-mediated transcriptional repression that is overexpressed in prostate cancer
Y C Chen, X W Zhang, X H Niu, D Q Xin, W P Zhao, Y Q Na, Z B Mao
Oncogene 2010 Apr;29(21):3067-3078
Oncogene 2010 Apr;29(21):3067-3078
No comments: Submit comment
Supportive validation
- Submitted by
- per
- Main image

- Experimental details
- Western blot analysis of antibody specificity using a routine panel composed of IgG/HSA-depleted human plasma and protein lysates from selected human tissues and cell lines.
- Validation comment
- Single band corresponding to the predicted size in kDa (+/-20%).
- Primary Ab dilution
- 1:500
- Secondary Ab dilution
- 1:3000
- Lane 1
- Marker [kDa]: 229, 112, 83.5, 47.9, 32.3, 26.5, 17.2
- Lane 2
- RT-4
- Lane 3
- U-251MG sp
- Lane 4
- Human Plasma
- Lane 5
- Liver
- Lane 6
- Tonsil
- Theoretical target weight
- [kDa] 12
Supportive validation
- Submitted by
- per
- Main image

- Experimental details
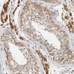
- Immunohistochemical staining of human testis shows distinct cytoplasmic positivity in Leydig cells.
- Validation comment
- Staining pattern consistent with experimental and/or bioinformatic data.