Antibody data
- Antibody Data
- Antigen structure
- References [2]
- Comments [0]
- Validations
- Western blot [1]
- ELISA [1]
- Immunoprecipitation [1]
- Immunohistochemistry [1]
Submit
Validation data
Reference
Comment
Report error
- Product number
- H00004282-M01 - Provider product page

- Provider
- Novus Biologicals
- Proper citation
- Novus Cat#H00004282-M01, RRID:AB_540513
- Product name
- Mouse Monoclonal MIF Antibody
- Antibody type
- Monoclonal
- Description
- IgG purified. MIF - macrophage migration inhibitory factor (glycosylation-inhibiting factor)
- Reactivity
- Human
- Host
- Mouse
- Isotype
- IgG
- Vial size
- 0.1 mg
- Storage
- Aliquot and store at -20C or -80C. Avoid freeze-thaw cycles.
Submitted references An HLA-presented fragment of macrophage migration inhibitory factor is a therapeutic target for invasive breast cancer.
eIF3m expression influences the regulation of tumorigenesis-related genes in human colon cancer.
Hawkins O, Verma B, Lightfoot S, Jain R, Rawat A, McNair S, Caseltine S, Mojsilovic A, Gupta P, Neethling F, Almanza O, Dooley W, Hildebrand W, Weidanz J
Journal of immunology (Baltimore, Md. : 1950) 2011 Jun 1;186(11):6607-16
Journal of immunology (Baltimore, Md. : 1950) 2011 Jun 1;186(11):6607-16
eIF3m expression influences the regulation of tumorigenesis-related genes in human colon cancer.
Goh SH, Hong SH, Hong SH, Lee BC, Ju MH, Jeong JS, Cho YR, Kim IH, Lee YS
Oncogene 2011 Jan 27;30(4):398-409
Oncogene 2011 Jan 27;30(4):398-409
No comments: Submit comment
Supportive validation
- Submitted by
- Novus Biologicals (provider)
- Main image

- Experimental details
- Western Blot: MIF Antibody (2A10-4D3) [H00004282-M01] - Analysis of MIF expression in transfected 293T cell line by MIF monoclonal antibody (M01), clone 2A10-4D3.Lane 1: MIF transfected lysate(12.5 KDa).Lane 2: Non-transfected lysate.
Supportive validation
- Submitted by
- Novus Biologicals (provider)
- Main image

- Experimental details
- Sandwich ELISA: MIF Antibody (2A10-4D3) [H00004282-M01] - Detection limit for recombinant GST tagged MIF is approximately 0.1ng/ml as a capture antibody.
Supportive validation
- Submitted by
- Novus Biologicals (provider)
- Main image

- Experimental details
- Immunoprecipitation: MIF Antibody (2A10-4D3) [H00004282-M01] - Analysis of MIF transfected lysate using anti-MIF monoclonal antibody and Protein A Magnetic Bead, and immunoblotted with MIF MaxPab rabbit polyclonal antibody.
Supportive validation
- Submitted by
- Novus Biologicals (provider)
- Main image

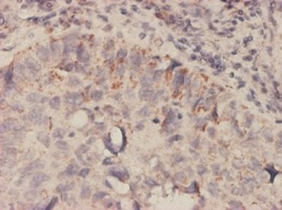
- Experimental details
- Immunohistochemistry-Paraffin: MIF Antibody (2A10-4D3) [H00004282-M01] - Analysis of monoclonal antibody to MIF on formalin-fixed paraffin-embedded human lung, adenosquamous cell carcinoma tissue. Antibody concentration 1 ~ 10 ug/ml.