Antibody data
- Antibody Data
- Antigen structure
- References [0]
- Comments [0]
- Validations
- Immunohistochemistry [1]
Submit
Validation data
Reference
Comment
Report error
- Product number
- PAB11764 - Provider product page

- Provider
- Abnova Corporation
- Proper citation
- Abnova Corporation Cat#PAB11764, RRID:AB_1675063
- Product name
- EFNA4 polyclonal antibody
- Antibody type
- Polyclonal
- Antigen
- Recombinant protein corresponding to full length human EFNA4.
- Reactivity
- Human
- Host
- Rabbit
- Vial size
- 100 µl
- Concentration
- Lot specific
- Storage
- Store at 4°C.
No comments: Submit comment
Supportive validation
- Submitted by
- Abnova Corporation (provider)
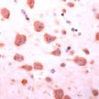
- Main image

- Experimental details
- Immunohistochemical staining of EFNA4 on formalin fixed, paraffin embedded human brain with EFNA4 polyclonal antibody (Cat # PAB11764).
- Validation comment
- Immunohistochemistry (Formalin/PFA-fixed paraffin-embedded sections)