Antibody data
- Antibody Data
- Antigen structure
- References [0]
- Comments [0]
- Validations
- Western blot [1]
- Immunocytochemistry [1]
- Immunohistochemistry [2]
Submit
Validation data
Reference
Comment
Report error
- Product number
- GTX83326 - Provider product page

- Provider
- GeneTex
- Proper citation
- GeneTex Cat#GTX83326, RRID:AB_11167894
- Product name
- AMACR antibody [2A10F3]
- Antibody type
- Monoclonal
- Reactivity
- Human, Mouse
- Host
- Mouse
No comments: Submit comment
Supportive validation
- Submitted by
- GeneTex (provider)
- Main image

- Experimental details
- Western blot analysis using anti-AMACR mAb against Jurkat (1) and LNCaP (2) cell lysate.
Supportive validation
- Submitted by
- GeneTex (provider)
- Main image

- Experimental details
- Confocal immunofluorescence analysis of LNCaP cells using AMACR mouse mAb (green). Red: Actin filaments have been labeled with DY-554 phalloidin Blue: DRAQ5 fluorescent DNA dye
Supportive validation
- Submitted by
- GeneTex (provider)
- Main image

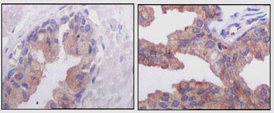
- Experimental details
- Immunohistochemical analysis of paraffin-embedded human normal prostate tissues (left) and prostate adenocarcinoma tissues (right), showing cytoplasmic localization using anti-AMACR mAb with DAB staining.
- Submitted by
- GeneTex (provider)
- Main image

- Experimental details
- Immunohistochemical analysis of paraffin-embedded human brain cerebellum using anti-AMACR mAb.