Antibody data
- Antibody Data
- Antigen structure
- References [0]
- Comments [0]
- Validations
- Western blot [2]
- Immunohistochemistry [5]
Submit
Validation data
Reference
Comment
Report error
- Product number
- LS-C782690 - Provider product page

- Provider
- LSBio
- Product name
- AMACR / P504S Antibody (clone AMACR/1864) LS-C782690
- Antibody type
- Monoclonal
- Description
- Protein G affinity chromatography
- Reactivity
- Human
- Host
- Mouse
- Isotype
- IgG
- Antibody clone number
- AMACR/1864
- Storage
- Store at 2-8°C.
No comments: Submit comment
Enhanced validation
- Submitted by
- LSBio (provider)
- Enhanced method
- Genetic validation
- Main image

- Experimental details
- Western blot testing of human PC-3 cell lysate with AMACR antibody. Predicted molecular weight ~43 kDa.
- Submitted by
- LSBio (provider)
- Enhanced method
- Genetic validation
- Main image

- Experimental details
- Western blot testing of 1) human partial protein and 2) human kidney lysate with AMACR antibody. Predicted molecular weight ~43 kDa.
Enhanced validation
- Submitted by
- LSBio (provider)
- Enhanced method
- Genetic validation
- Main image

- Experimental details
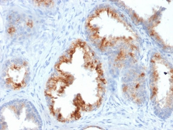
- IHC testing of FFPE human prostate carcinoma with AMACR antibody. Required HIER: steam section in pH6 citrate buffer for 20 min and allow to cool prior to staining.
- Submitted by
- LSBio (provider)
- Enhanced method
- Genetic validation
- Main image

- Experimental details
- IHC testing of FFPE human prostate carcinoma with AMACR antibody. Required HIER: steam section in pH6 citrate buffer for 20 min and allow to cool prior to staining.
- Submitted by
- LSBio (provider)
- Enhanced method
- Genetic validation
- Main image

- Experimental details
- IHC testing of FFPE human renal carcinoma with AMACR antibody. Required HIER: steam section in pH6 citrate buffer for 20 min and allow to cool prior to staining.
- Submitted by
- LSBio (provider)
- Main image

- Experimental details
- IHC testing of FFPE human renal carcinoma with AMACR antibody. Required HIER: steam section in pH6 citrate buffer for 20 min and allow to cool prior to staining.
- Submitted by
- LSBio (provider)
- Main image

- Experimental details
- IHC testing of FFPE human prostate carcinoma with AMACR antibody. Required HIER: steam section in pH6 citrate buffer for 20 min and allow to cool prior to staining.