Antibody data
- Antibody Data
- Antigen structure
- References [0]
- Comments [0]
- Validations
- Immunohistochemistry [1]
Submit
Validation data
Reference
Comment
Report error
- Product number
- NBP2-48200 - Provider product page

- Provider
- Novus Biologicals
- Product name
- Mouse Monoclonal Androgen R/NR3C4 Antibody
- Antibody type
- Monoclonal
- Description
- Protein A or G purified. Recognizes a protein of 110kDa, which is identified as androgen receptor (AR). It reacts with full length, and the newly described A form of the receptor. It does not cross react with estrogen, progesterone, or glucocorticoid receptors. The expression of AR is reportedly inversely correlated with histologic grade i.e. well differentiated prostate tumors show higher expression than the poorly differentiated tumors. In prostate cancer, AR has been proposed, as a marker of hormone-responsiveness and thus it may be useful in identifying patients likely to benefit from anti-androgen therapy. Anti-androgen receptor has been useful clinically in differentiating morpheaform basal cell carcinoma (mBCC) from desmoplastic trichoepithelioma (DTE) in the skin.This MAb is superb for staining of formalin/paraffin tissues.
- Reactivity
- Human, Mouse
- Host
- Mouse
- Isotype
- IgG
- Vial size
- 7 ml
- Storage
- Store at 4C.
No comments: Submit comment
Supportive validation
- Submitted by
- Novus Biologicals (provider)
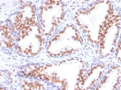
- Main image

- Experimental details
- Immunohistochemistry-Paraffin: Androgen R/NR3C4 Antibody (DHTR/882) - IHC-Prediluted [NBP2-48200] - Formalin-fixed, paraffin-embedded human Prostate Carcinoma stained with Androgen Receptor Mouse Monoclonal Antibody (DHTR/882).