Antibody data
- Antibody Data
- Antigen structure
- References [0]
- Comments [0]
- Validations
- Western blot [1]
- Immunocytochemistry [1]
- Immunohistochemistry [1]
Submit
Validation data
Reference
Comment
Report error
- Product number
- GTX115788 - Provider product page

- Provider
- GeneTex
- Proper citation
- GeneTex Cat#GTX115788, RRID:AB_10620714
- Product name
- DECR2 antibody
- Antibody type
- Polyclonal
- Reactivity
- Human
- Host
- Rabbit
No comments: Submit comment
Supportive validation
- Submitted by
- GeneTex (provider)
- Main image

- Experimental details
- Sample (30 ug of whole cell lysate) A: A549 12% SDS PAGE GTX115788 diluted at 1:1000
Supportive validation
- Submitted by
- GeneTex (provider)
- Main image

- Experimental details
- DECR2 antibody detects DECR2 protein at peroxisome by immunofluorescent analysis.Sample: A549 cells were fixed in 4% paraformaldehyde at RT for 15 min.Green: DECR2 protein stained by DECR2 antibody (GTX115788) diluted at 1:500.Blue: Hoechst 33342 staining.Scale bar = 10 £gm.
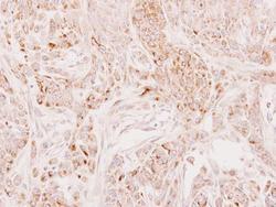
Supportive validation
- Submitted by
- GeneTex (provider)
- Main image

- Experimental details
- Immunohistochemical analysis of paraffin-embedded A549 xenograft, using DECR2(GTX115788) antibody at 1:100 dilution.