Antibody data
- Antibody Data
- Antigen structure
- References [0]
- Comments [0]
- Validations
- Western blot [1]
- Immunocytochemistry [1]
- Immunohistochemistry [1]
Submit
Validation data
Reference
Comment
Report error
- Product number
- 21059 - Provider product page

- Provider
- Signalway Antibody LLC
- Product name
- BCL-2(Ab-56) Antibody
- Antibody type
- Polyclonal
- Antigen
- The antibody detects endogenous level of total BCL-2 protein.
- Host
- Rabbit
- Conjugate
- Unconjugated
- Vial size
- 50µl
No comments: Submit comment
Supportive validation
- Submitted by
- Signalway Antibody LLC (provider)
- Main image

- Experimental details
- Western blot analysis of extracts from Hela, A2780 and 293 cells using BCL-2(Ab-56) Antibody #21059.
Supportive validation
- Submitted by
- Signalway Antibody LLC (provider)
- Main image

- Experimental details
- Immunofluorescence analysis of paraformaldehyde-fixed HeLa, using AKAP12 antibody at 1: 200 dilution.
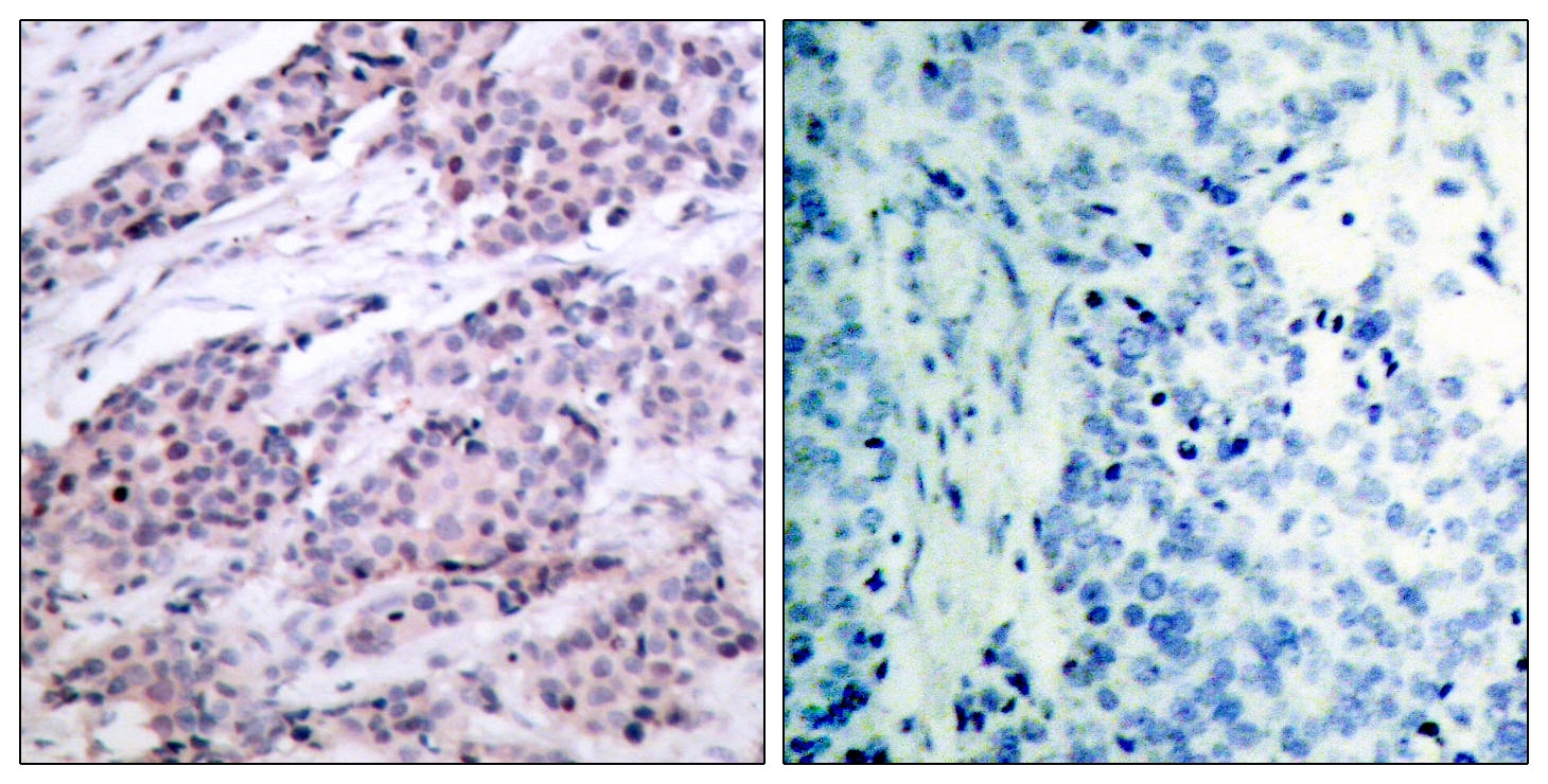
Supportive validation
- Submitted by
- Signalway Antibody LLC (provider)
- Main image

- Experimental details
- Immunohistochemical analysis of paraffin-embedded human breast carcinoma tissue using BCL-2(Ab-56) Antibody #21059(left) or the same antibody preincubated with blocking peptide(right).