Antibody data
- Antibody Data
- Antigen structure
- References [4]
- Comments [0]
- Validations
- Western blot [1]
- Immunohistochemistry [1]
Submit
Validation data
Reference
Comment
Report error
- Product number
- PAB13118 - Provider product page

- Provider
- Abnova Corporation
- Proper citation
- Abnova Corporation Cat#PAB13118, RRID:AB_10551484
- Product name
- BCL2 polyclonal antibody
- Antibody type
- Polyclonal
- Description
- Rabbit polyclonal antibody raised against synthetic peptide of BCL2.
- Storage
- Store at 4°C for three months. For long term storage store at -20°C.Aliquot to avoid repeated freezing and thawing.
Submitted references Ovatodiolide sensitizes aggressive breast cancer cells to doxorubicin, eliminates their cancer stem cell-like phenotype, and reduces doxorubicin-associated toxicity.
The Bcl-2 protein family and its role in the development of neoplastic disease.
The Bcl-2 family: roles in cell survival and oncogenesis.
Bcl-2 is an inner mitochondrial membrane protein that blocks programmed cell death.
Bamodu OA, Huang WC, Tzeng DT, Wu A, Wang LS, Yeh CT, Chao TY
Cancer letters 2015 Aug 10;364(2):125-34
Cancer letters 2015 Aug 10;364(2):125-34
The Bcl-2 protein family and its role in the development of neoplastic disease.
Heiser D, Labi V, Erlacher M, Villunger A
Experimental gerontology 2004 Aug;39(8):1125-35
Experimental gerontology 2004 Aug;39(8):1125-35
The Bcl-2 family: roles in cell survival and oncogenesis.
Cory S, Huang DC, Adams JM
Oncogene 2003 Nov 24;22(53):8590-607
Oncogene 2003 Nov 24;22(53):8590-607
Bcl-2 is an inner mitochondrial membrane protein that blocks programmed cell death.
Hockenbery D, Nuñez G, Milliman C, Schreiber RD, Korsmeyer SJ
Nature 1990 Nov 22;348(6299):334-6
Nature 1990 Nov 22;348(6299):334-6
No comments: Submit comment
Supportive validation
- Submitted by
- Abnova Corporation (provider)
- Main image

- Experimental details
- Western blot analysis of BCL2 in Daudi cell lysates with BCL2 polyclonal antibody (Cat # PAB13118) at (A) 1, (B) 2, and (C) 4 ug/mL .
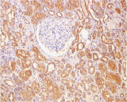
Supportive validation
- Submitted by
- Abnova Corporation (provider)
- Main image

- Experimental details
- Immunohistochemical staining of human kidneyusing BCL2 polyclonal antibody (Cat # PAB13118) at 2 ug/mL .
- Validation comment
- Immunohistochemistry (Formalin/PFA-fixed paraffin-embedded sections)