Antibody data
- Antibody Data
 - Antigen structure
 - References [0]
 - Comments [0]
 - Validations
 - Immunohistochemistry [1]
 - Other assay [1]
 
Submit
Validation data
Reference
Comment
Report error
- Product number
 - 94025-MSM2-P0 - Provider product page

 - Provider
 - Invitrogen Antibodies
 - Product name
 - MUC16/CA125 Monoclonal Antibody (OCA125, 1900)
 - Antibody type
 - Monoclonal
 - Antigen
 - Purifed from natural sources
 - Reactivity
 - Human
 - Host
 - Mouse
 - Isotype
 - IgG
 - Antibody clone number
 - OCA125, 1900
 - Vial size
 - 20 µg
 - Concentration
 - 200 µg/mL
 - Storage
 - 4° C
 
				No comments: Submit comment	
	
			
							
					Supportive validation
					
									
				
				- Submitted by
 - Invitrogen Antibodies (provider)
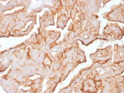
 - Main image
 
- Experimental details
 - Immunohistochemistry (Paraffin) analysis performed in formalin fixed, paraffin-embedded human ovarian carcinoma using MUC16, CA125 Monoclonal Antibody (Product # 94025-MSM2-P1).
 
							
					Supportive validation
					
									
				
		- Submitted by
 - Invitrogen Antibodies (provider)
 - Main image
 
- Experimental details
 - SDS-PAGE Analyis Purified MUC16, CA125 Monoclonal Antibody (Product # 94025-MSM2-P1). Confirmation of Purity and Integrity of Antibody.